症例詳細
Case detail
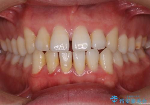
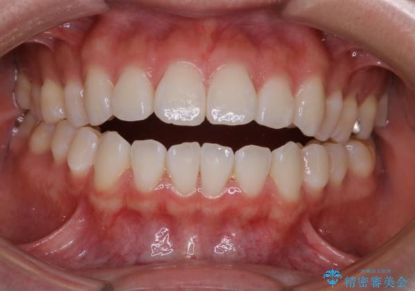
前歯で噛めない:オープンバイト(開咬)を非抜歯インビザラインで治療
治療症例の内容
- 診療科目
- 治療カテゴリ
- 担当医
- 患者様
- 20代女性
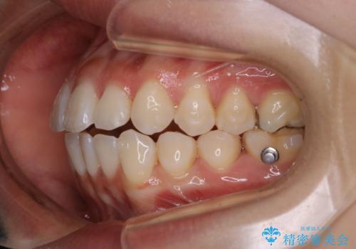
- 矯正装置
- インビザラインFULL
- 治療期間
- 1年3ヶ月
- 治療回数
- 10-30回
- 治療計画
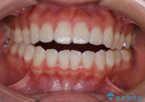
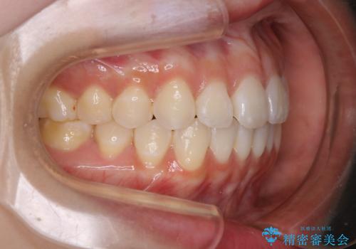
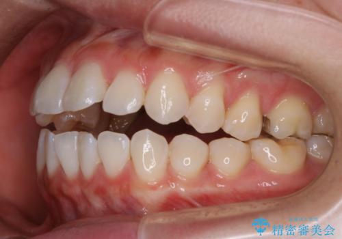
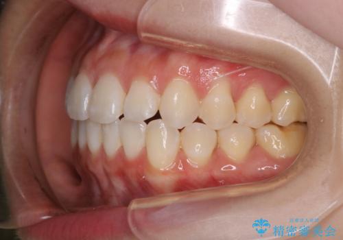
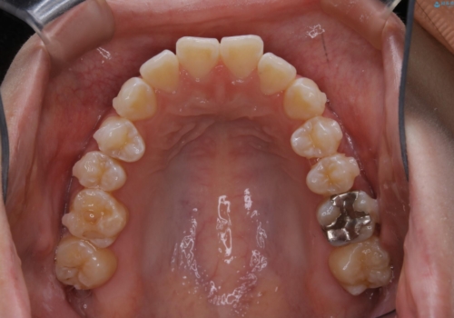
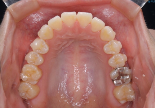
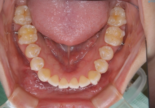
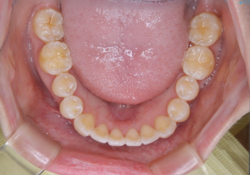
- 上下の歯が噛んでいないことを気にしてご相談にいらした方です。
舌癖も認められたため、舌のトレーニングも併せて行い、矯正治療の効率化を図ると同時に後戻りのリスクを最小限に抑えるようにしました。
- 費用(概算)
- 91万円(税込み・)費用は治療当時の料金となります
治療について
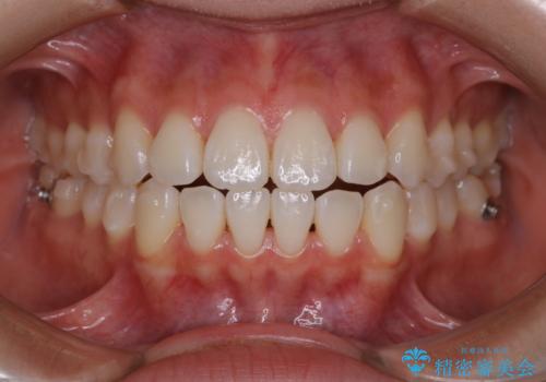
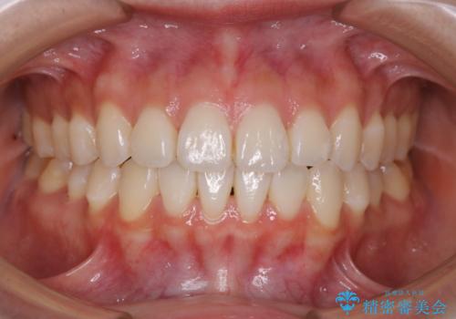
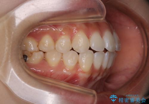
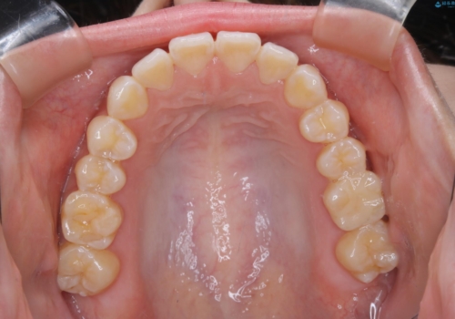
オープンバイトの方への治療は、通常抜歯を行いワイヤーによる矯正治療を行うことが多いですが、今回はインビザラインの特性を生かし、非抜歯にて綺麗な歯並びを作ることが出来ました。
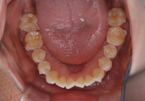
舌癖がある方は、歯を内側から押し出す力が日常的に働くため、矯正治療後も歯と歯の隙間が開いてしまうなどの後戻りのリスクが高いことが知られています。舌の正しいポジショニングやお口周りの筋肉のトレーニングを行うことで後戻りのリスクを減らすことが可能です。
マウスピース矯正の注意事項(リスク・副作用など)
- 口腔内・歯並びの状態によっては対応できない場合があります
- マウスピース型矯正装置の長時間装着(1日20時間以上)が必須です
- 治療計画通りに進めるためには、患者様の意志が重要になります
- 矯正治療後の保定が不十分だと後戻り(元の位置に戻ろうとする動き)をします
- 薬機法対象外の矯正歯科装置のため医薬品副作用被害救済制度の対象外となる場合があります
- 自費診療(保険適用外)となります
当サイトの内容、テキスト、画像等の無断転載、複製、複写、盗用を固く禁じます。





















