症例詳細
Case detail
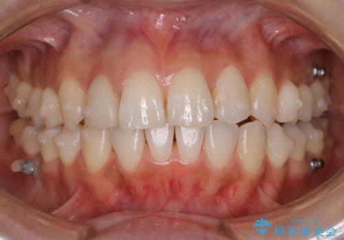
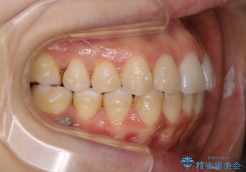
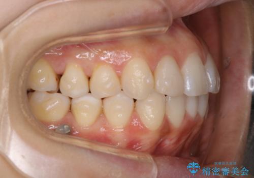
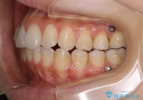
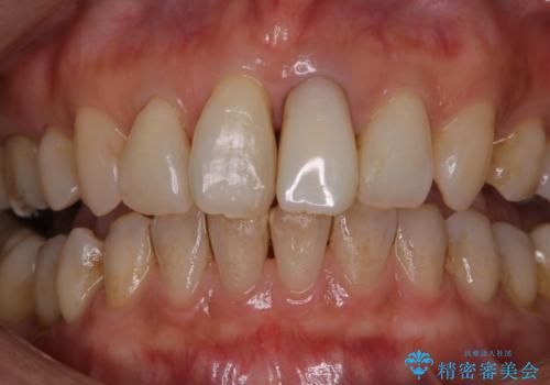
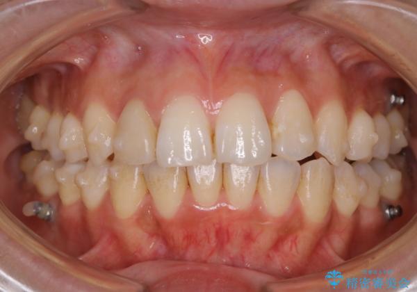
2カ月で全体的に着色(PMTC)
治療症例の内容
- 診療科目
- 治療カテゴリ
- 患者様
- 20代女性
- 治療期間
- 1日
- 治療回数
- 1回
- 治療計画
- クリーニングをしてほしいとのことで来院されました。
PMTC30分コースを行いました。
- 費用(概算)
- ¥5500費用は治療当時の料金となります
治療について
PMTC30分コースを行いました。
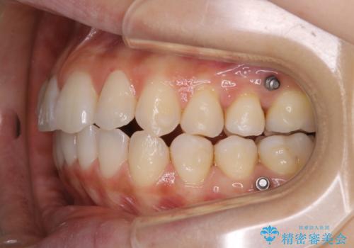
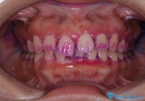
インビザラインの矯正中の方でアタッチメントが歯に付いているため、2ヶ月で着色やプラークが付いてきてしまいました。ホームケアや飲食の仕方により個人差はありますが、基本的には汚れが普段よりもつきやすいです。
定期的にクリーニングすることをおすすめします。
担当歯科衛生士
表参道しらゆり歯科 DH富田
PMTCの注意事項(リスク・副作用など)
- 歯を白くする目的の施術ではありません
- 保険適用外となります
当サイトの内容、テキスト、画像等の無断転載、複製、複写、盗用を固く禁じます。






