症例詳細
Case detail
インビザラインの経過と一緒にクリーニング(PMTC)
治療症例の内容
- 診療科目
- 治療カテゴリ
- 患者様
- 20代女性
- 治療期間
- 1日
- 治療回数
- 1回
- 治療計画
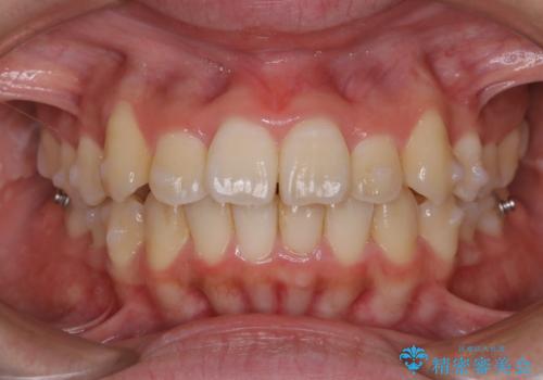
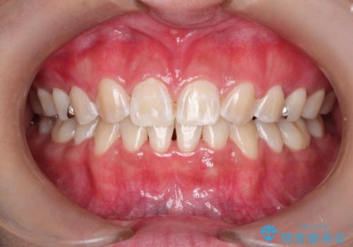
- クリーニングをしてほしいとのことで来院されました。
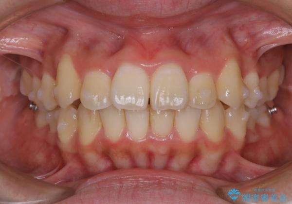
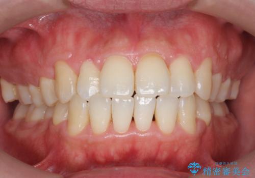
PMTC30分コースを行いました。
- 費用(概算)
- ¥5500費用は治療当時の料金となります
治療について
PMTC30分コースを行いました。
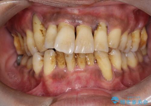
ステインやプラークが付着していました。
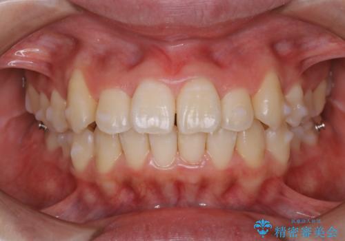
インビザラインの経過は、2-3カ月に1回のため一緒にクリーニングされる方も増えています。
矯正を始めると歯に装置などが付いてくるため、より汚れや着色が付きやすくなります。定期的にクリーニングをすることをおすすめします。
担当歯科衛生士
表参道しらゆり歯科 DH富田
PMTCの注意事項(リスク・副作用など)
- 歯を白くする目的の施術ではありません
- 保険適用外となります
当サイトの内容、テキスト、画像等の無断転載、複製、複写、盗用を固く禁じます。


