症例詳細
Case detail
PMTCの30分コース
治療症例の内容
- 診療科目
 
- 治療カテゴリ
 
- 患者様
 - 20代女性
 
- 治療期間
 - 1日
 
- 治療回数
 - 1回
 
- 治療計画
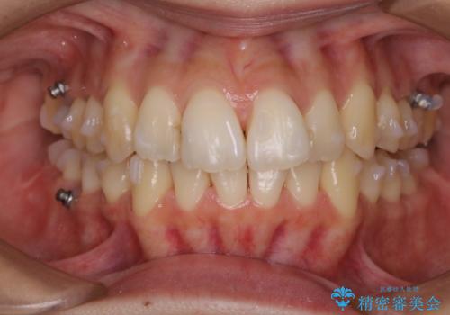
 - クリーニングをしてほしいとのことで来院されました。
PMTC30分コースを行いました。 
- 費用(概算)
 - ¥5500費用は治療当時の料金となります
 
治療について
PMTC30分コースを行いました。
この方は、インビザラインの矯正中の患者様で、奥歯のアタッチメント付近に着色が多く付いていました。
軽度な着色であれば30分コースで全体をクリーニングすることが可能です。
担当歯科衛生士
表参道しらゆり歯科 DH富田
PMTCの注意事項(リスク・副作用など)
- 歯を白くする目的の施術ではありません
 - 保険適用外となります
 
当サイトの内容、テキスト、画像等の無断転載、複製、複写、盗用を固く禁じます。

                      
                                                          
