症例詳細
Case detail
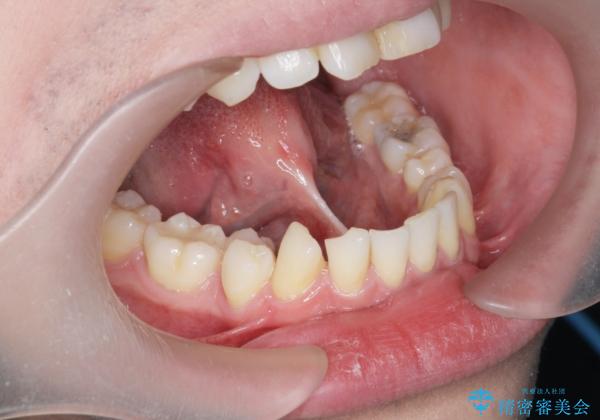
[ 舌小帯形成術 ]舌が短い 小手術での改善
治療症例の内容
- 診療科目
- 治療カテゴリ
- 担当医
- 大元洋佑(ドクタープロフィール)
- 患者様
- 20代男性
- 治療期間
- 1日
- 治療回数
- 1回
- 治療計画
- 舌が短いため動かしにくく、発音に支障があるため、舌小帯切除術を希望された方の症例です。
- 費用(概算)
- 3.3万円費用は治療当時の料金となります
治療について
舌小帯の形成は10分程度で終わる小手術です。
悩みの種であった滑舌が改善できたと喜んでいただくことができました。
外科処置の注意事項(リスク・副作用など)
- 外科手術のため、術後に出血、痛みや腫れ、違和感を伴います
- 口腔内の状態によっては適応できないことがあります
当サイトの内容、テキスト、画像等の無断転載、複製、複写、盗用を固く禁じます。

![[ 舌小帯形成術 ]舌が短い 小手術での改善の治療前](https://seimitsushinbi.jp/wp/wp-content/uploads/2022/06/8d267ea0a8ffaaf134998cbb95ac3e27-500x350.jpg?v=1654757892)
![[ 舌小帯形成術 ]舌が短い 小手術での改善の治療中](https://seimitsushinbi.jp/wp/wp-content/uploads/2022/06/ac5303012b85b8a8fcc96f07628848a9-500x350.jpg?v=1654757902)
![[ 舌小帯形成術 ]舌が短い 小手術での改善の治療後](https://seimitsushinbi.jp/wp/wp-content/uploads/2022/06/IMG_9990-2-500x350.jpg?v=1654757908)
![[ 舌小帯形成術 ]舌が短い 小手術での改善の治療前](https://seimitsushinbi.jp/wp/wp-content/uploads/2022/06/e0d09429788c8206d327e9811573a27b-500x350.jpg?v=1654757894)
![[ 舌小帯形成術 ]舌が短い 小手術での改善の治療中](https://seimitsushinbi.jp/wp/wp-content/uploads/2022/06/cd3869e635164fa5c946a3665b008bce-500x350.jpg?v=1654757905)
![[ 舌小帯形成術 ]舌が短い 小手術での改善の治療後](https://seimitsushinbi.jp/wp/wp-content/uploads/2022/06/IMG_9991-3-500x350.jpg?v=1654757910)
![[ 舌小帯形成術 ]舌が短い 小手術での改善の治療中](https://seimitsushinbi.jp/wp/wp-content/uploads/2022/06/5a71f87b2fd0d8f42cb80f6d183cd153-500x350.jpg?v=1654757897)