症例詳細
Case detail
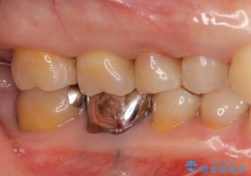
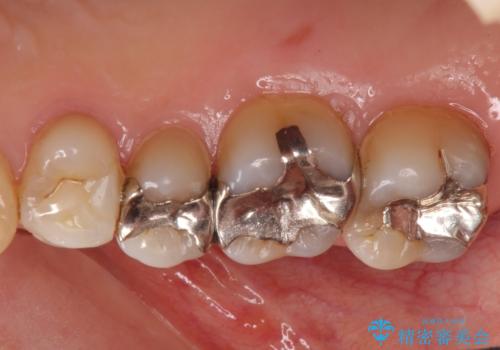
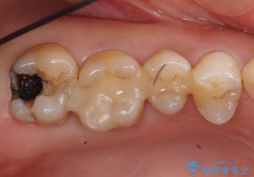
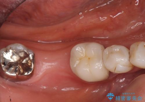
銀歯を白く 虫歯治療
治療症例の内容
- 診療科目
- 治療カテゴリ
- 担当医
- 井上季実子(ドクタープロフィール)
- 患者様
- 30代女性
- 治療期間
- 2ヶ月
- 治療回数
- 2-5回
- 治療計画
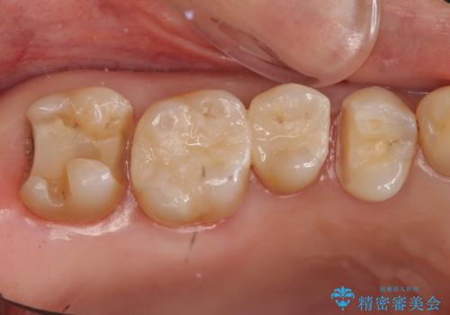
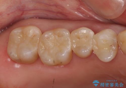
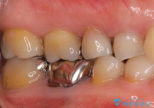
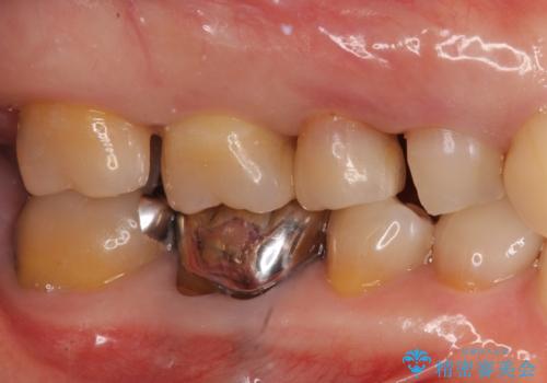
- 虫歯治療を希望して来院。
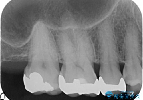
保険適用の銀色のつめもののやり替えを行いました。
- 費用(概算)
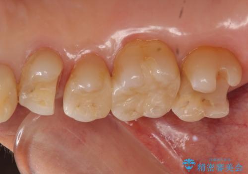
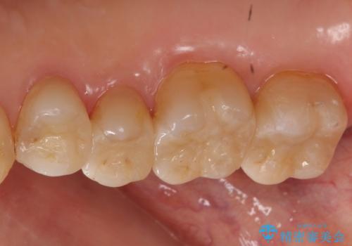
- 30.8万円(右上4567 emaxプレスインレー 7万円x4本)費用は治療当時の料金となります
治療について
自由診療のインレーの歯型には、シリコンを使用しています。また、処置時には8倍の拡大鏡を用いて、精密に治療しております。
セラミック治療の注意事項(リスク・副作用など)
- 天然歯を削ります
- 硬い素材は天然歯を傷つけてしまう場合があります
- かみ合わせや歯ぎしりが強すぎる方はセラミックが割れてしまう可能性があります
- 自費診療(保険適用外治療)となります
当サイトの内容、テキスト、画像等の無断転載、複製、複写、盗用を固く禁じます。














