症例詳細
Case detail
ステイン除去で歯を白く
治療症例の内容
- 診療科目
- 治療カテゴリ
- 患者様
- 30代女性
- 治療期間
- 1日
- 治療回数
- 1回
- 治療計画
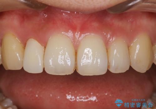
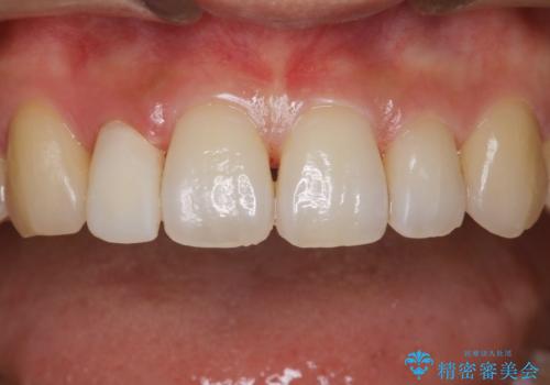
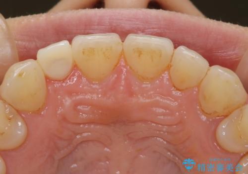
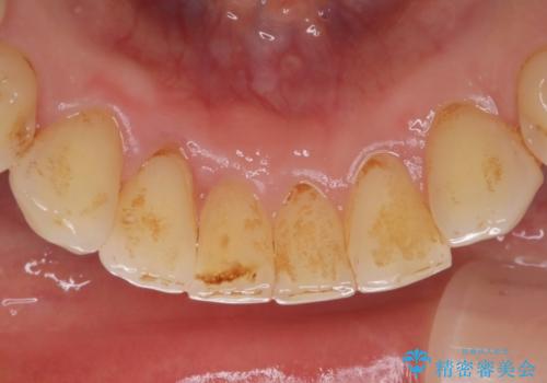
- インビザラインで矯正中の患者様です。リファインメントのタイミングでホームホワイトニングをご希望でしたが、歯の表面にステインがかなり付着していたため、エアフローでのクリーニングからお勧めしました。
歯の表面にステインやバイオフィルムが付着していると、歯面がざらつき更に汚れが付きやすくなるだけでなく、付着物の影響でホワイトニング薬剤の浸透が悪くなりトーンアップ効果が減少します。歯の表面の汚れを落とすことで歯面もツルツルになり、ホワイトニングを行わなくても歯が白くなった様に感じられる場合もあります。
- 費用(概算)
- 7700円(税込み)費用は治療当時の料金となります
治療について
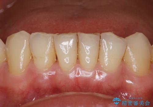
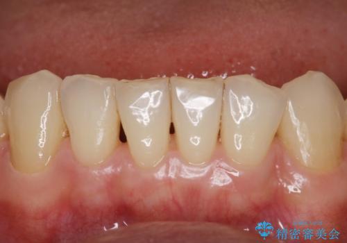
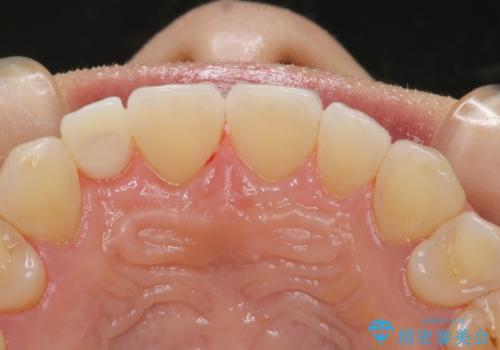
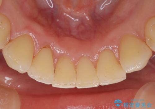
エアフローだけで歯が白くなったと喜んでいらっしゃいました。新しいマウスピースが届くまでの間はホームホワイトニングを行い歯の内部から白くしていきます。
新橋銀座しらゆり歯科 歯科衛生士
PMTCの注意事項(リスク・副作用など)
- 歯を白くする目的の施術ではありません
- 保険適用外となります
当サイトの内容、テキスト、画像等の無断転載、複製、複写、盗用を固く禁じます。








