症例詳細
Case detail
引っ込んだ前歯を並べる 歯を抜かないマウスピース矯正
治療症例の内容
- 担当医
- 井上季実子(ドクタープロフィール)
- 患者様
- 20代男性
- 矯正装置
- インビザライン
- 治療期間
- 2年6ヶ月
- 治療回数
- 10-30回
- 治療計画
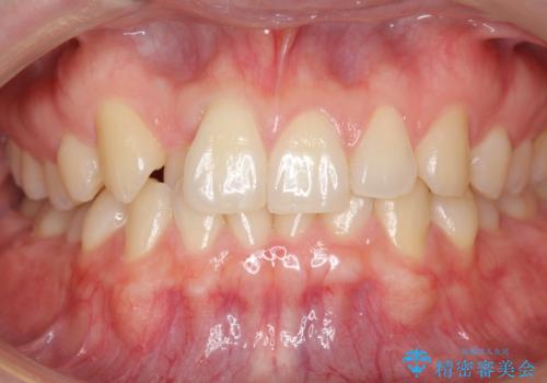
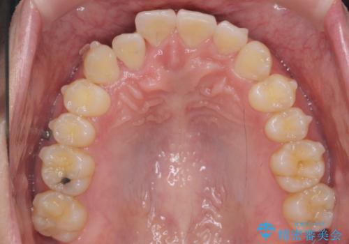
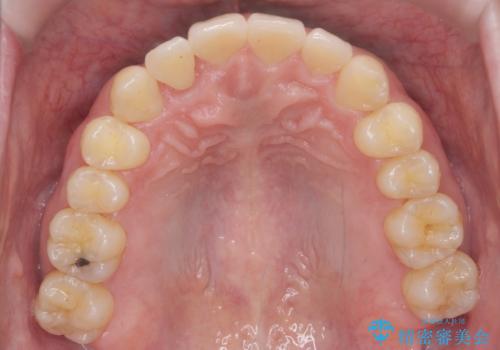
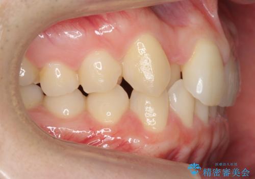
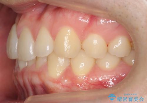
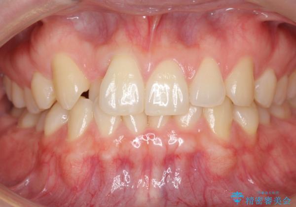
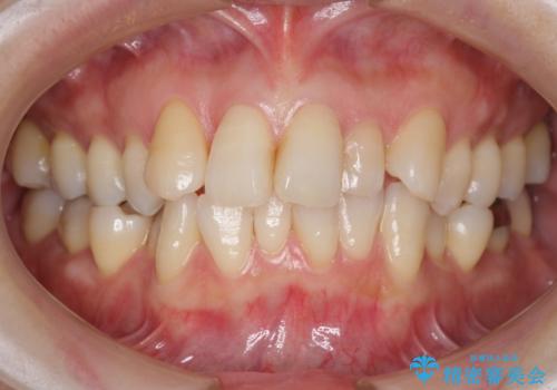
- 右上の前歯が内側に入っているのを気にして来院。
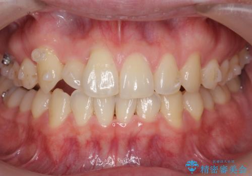
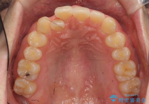
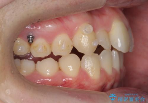
右上の奥歯を後ろに移動して、前に出すスペースを確保してから並べました。
奥歯を後ろに送るために、矯正用インプラントを使用しています。
- 費用(概算)
- 104.5万円(マウスピース矯正 93.5万円、矯正用スクリュー11万円)費用は治療当時の料金となります
治療について
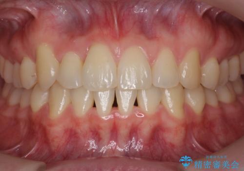
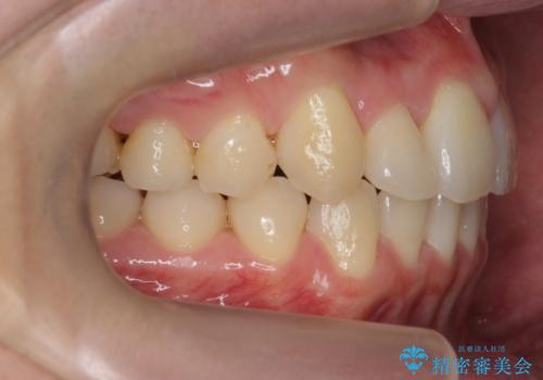
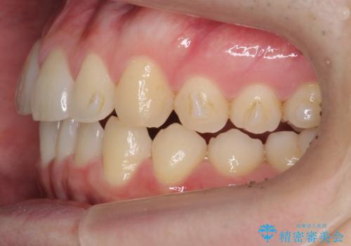
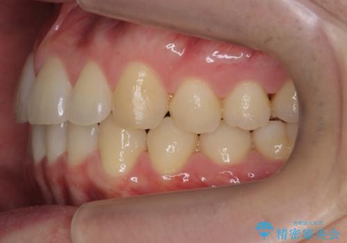
前歯が内側に入っていると、笑った時にそこが黒くなり、歯が抜けたように見えます。
口を開けたとき、笑顔の印象が大きく変わり、大変喜んでいただけました。
マウスピース矯正の注意事項(リスク・副作用など)
- 口腔内・歯並びの状態によっては対応できない場合があります
- マウスピース型矯正装置の長時間装着(1日20時間以上)が必須です
- 治療計画通りに進めるためには、患者様の意志が重要になります
- 矯正治療後の保定が不十分だと後戻り(元の位置に戻ろうとする動き)をします
- 薬機法対象外の矯正歯科装置のため医薬品副作用被害救済制度の対象外となる場合があります
- 自費診療(保険適用外)となります
当サイトの内容、テキスト、画像等の無断転載、複製、複写、盗用を固く禁じます。

















