症例詳細
Case detail
奥歯の虫歯 セラミックのつめものでやりかえ
治療症例の内容
- 診療科目
- 治療カテゴリ
- 担当医
- 井上季実子(ドクタープロフィール)
- 患者様
- 20代女性
- 治療期間
- 1ヶ月
- 治療回数
- 2-5回
- 治療計画
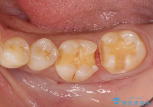
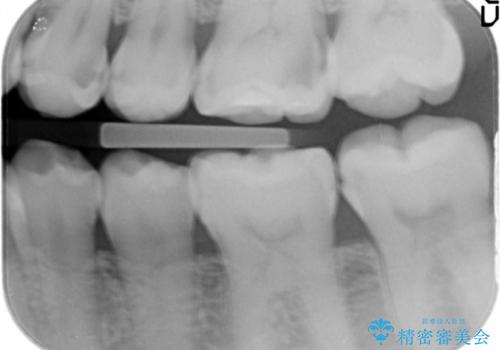
- 歯の健診で来院。
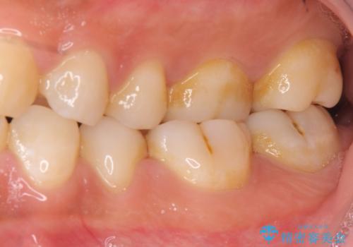
左下の奥歯2本にプラスチックの詰め物がされており、一見虫歯には見えない状態でした。
レントゲンを撮影したところ、奥歯の歯の間が虫歯が発見できました。
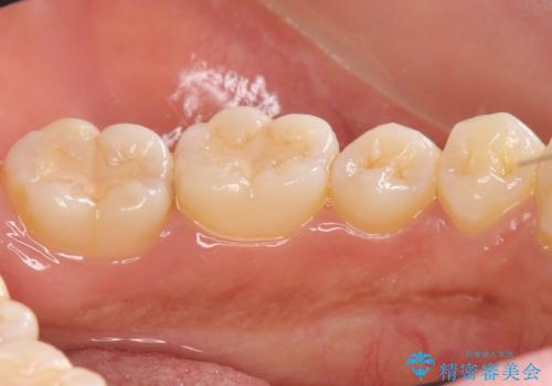
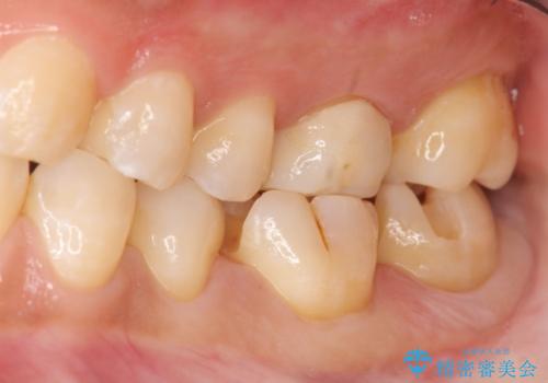
古い詰め物を取り、虫歯を除去して、合わせた形でセラミックインレーで治療しました。
- 費用(概算)
- 14万円(内訳 左下67:セラミックインレー 7万円 x 2本)費用は治療当時の料金となります
治療について
歯と歯の間の虫歯は、視診(見るだけ)では発見できません。
定期検診をするなら、定期的にレントゲンを撮ることをおすすめいたします。
セラミック治療の注意事項(リスク・副作用など)
- 天然歯を削ります
- 硬い素材は天然歯を傷つけてしまう場合があります
- かみ合わせや歯ぎしりが強すぎる方はセラミックが割れてしまう可能性があります
- 自費診療(保険適用外治療)となります
その他の注意事項(リスク・副作用など)
- 担当歯科医師、歯科衛生士又は医院スタッフから受けた説明・注意事項をよくご確認ください
- 医療を提供するに当たり、適切な説明を行い、患者様の十分な理解を得るよう努めております
当サイトの内容、テキスト、画像等の無断転載、複製、複写、盗用を固く禁じます。










