症例詳細
Case detail
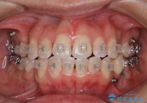
ワイヤー矯正中のクリーニング
治療症例の内容
- 診療科目
- 治療カテゴリ
- 患者様
- 20代女性
- 治療期間
- 1日
- 治療回数
- 1回
- 治療計画
- クリーニングをしてほしいとのことで来院されました。
PMTC60分コースを行いました。
- 費用(概算)
- 11000円費用は治療当時の料金となります
治療について
PMTC60分コースを行いました。
ワイヤー矯正中の患者様で、歯石やプラーク、着色が多くついていました。
数ヶ月ぶりのクリーニングになり、ご自身でも余り丁寧に磨けていなかったそう。再度、歯ブラシの仕方について指導し頑張ってもらうよう説明しました。
汚れや着色がないだけでだいぶ見た目も、印象も変わっていくため、定期的にクリーニングを行うことをお勧めします。
担当歯科衛生士
表参道しらゆり歯科 DH富田
PMTCの注意事項(リスク・副作用など)
- 歯を白くする目的の施術ではありません
- 保険適用外となります
当サイトの内容、テキスト、画像等の無断転載、複製、複写、盗用を固く禁じます。


