症例詳細
Case detail
着色落とし(PMTC30分)
治療症例の内容
- 診療科目
- 治療カテゴリ
- 患者様
- 40代男性
- 治療期間
- 1日
- 治療回数
- 1回
- 治療計画
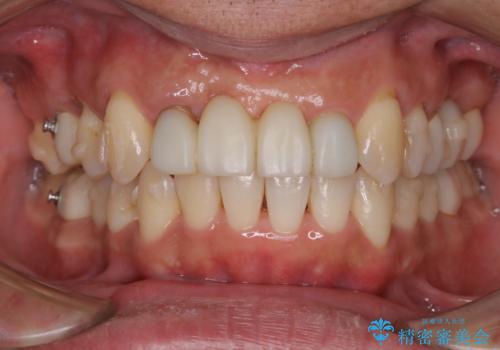
- 着色を落としてほしいとのことで来院されました。
PMTC30分コースを行いました。
- 費用(概算)
- ¥5500費用は治療当時の料金となります
治療について
PMTC30分コースを行いました。
プラークや歯石はあまりなく、アタッチメントの周囲に付着していた着色や下の前歯の着色メインでクリーニングを行いました。
※アタッチメントとは、インビザラインというマウスピース矯正において、歯の表面につける白い突起のこと
担当歯科衛生士
表参道しらゆり歯科 DH富田
PMTCの注意事項(リスク・副作用など)
- 歯を白くする目的の施術ではありません
- 保険適用外となります
当サイトの内容、テキスト、画像等の無断転載、複製、複写、盗用を固く禁じます。


