症例詳細
Case detail
PMTC60分コース
治療症例の内容
- 診療科目
- 治療カテゴリ
- 患者様
- 20代男性
- 治療期間
- 1日
- 治療回数
- 1回
- 治療計画
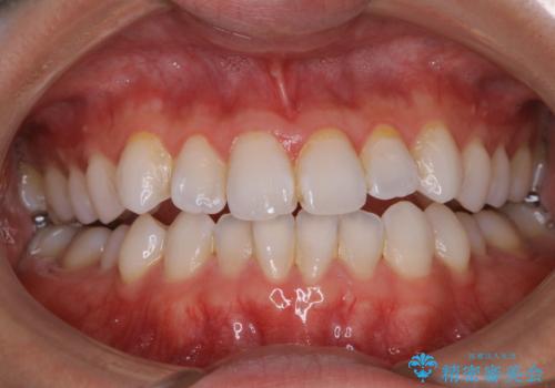
- クリーニングしてほしいとのことで来院されました。
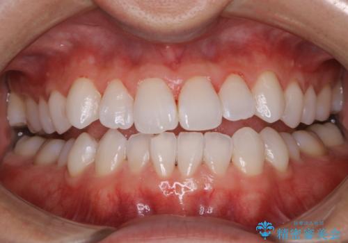
PMTC60分コースを行いました。
- 費用(概算)
- 11000円費用は治療当時の料金となります
治療について
PMTC60分コースを行いました。
プラークや歯石、着色がとても多く付着していました。
ご自身でもあまり丁寧に磨けなかったそう。2カ月に1回のペースで来院されているのにこの汚れの量は多いため、磨き方の説明やトータルケアという歯磨き粉を使ってもらうことになりました。
歯磨き粉は、歯科医院専売のもので院長もおススメしているものになります。
担当歯科衛生士
表参道しらゆり歯科 DH富田
PMTCの注意事項(リスク・副作用など)
- 歯を白くする目的の施術ではありません
- 保険適用外となります
当サイトの内容、テキスト、画像等の無断転載、複製、複写、盗用を固く禁じます。


