症例詳細
Case detail
歯石取りをしてほしい
治療症例の内容
- 診療科目
- 治療カテゴリ
- 患者様
- 30代男性
- 治療期間
- 1日
- 治療回数
- 1回
- 治療計画
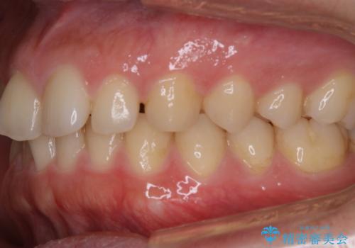
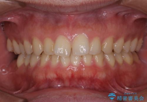
- 歯石取りの動画を見て気になったとのことです。
今まで歯科医院にてクリーニングをしたことがないとのことでした。
PMTC60分コースを行いました。
- 費用(概算)
- ¥11000費用は治療当時の料金となります
治療について
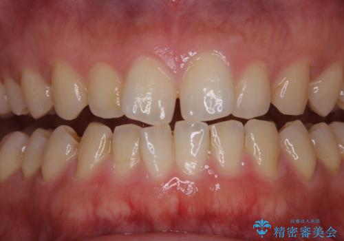
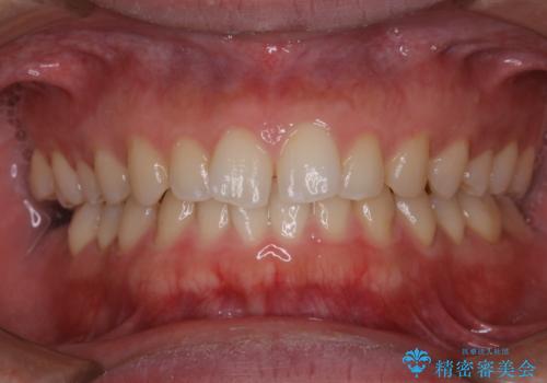
お口のトラブルを予防するには、PMTC(歯科医院で専門的な機械や材料を使用してクリーニング)を定期的に行うことが効果的な治療法です。
定期的なメンテナンスはもちろん、治療の前後や、治療中など小まめに専門的な機械的ケアをすることが大切です。
PMTCを行うことにより、スッキリと爽快感が得られたり、見た目も清潔感のある状態になるため、今後の治療などお口に対するモチベーションUPにも繋がります。
担当
表参道しらゆり歯科 DH西澤
PMTCの注意事項(リスク・副作用など)
- 歯を白くする目的の施術ではありません
- 保険適用外となります
当サイトの内容、テキスト、画像等の無断転載、複製、複写、盗用を固く禁じます。








