症例詳細
Case detail
オフィスホワイトニングのエクセレントコース
治療症例の内容
- 診療科目
- 治療カテゴリ
- 患者様
- 20代女性
- 治療期間
- 1日
- 治療回数
- 1回
- 治療計画
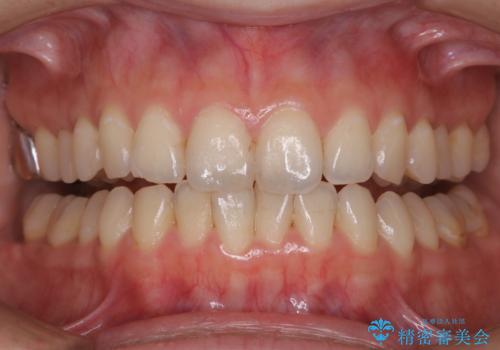
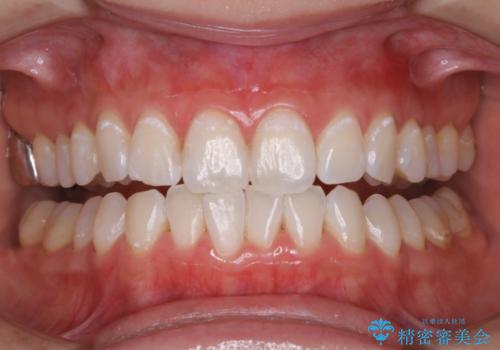
- ホワイトニングをして欲しいとのことで来院されました。
処置前クリーニングとオフィスホワイトニングのエクセレントコースを行いました。
- 費用(概算)
- 33,000円費用は治療当時の料金となります
治療について
処置前クリーニングとオフィスホワイトニングのエクセレントコースを行いました。
この患者様は、1回で2~3トーンくらいトーンアップしました。
ただ、ホワイトニングは後戻りするため、1回で終えてしまうとはやく後戻りしてしまうため、再度オフィスホワイトニングか、ホームホワイトニングを2週間してからメンテナンスに移行するのが良いかと思います。
担当歯科衛生士
表参道しらゆり歯科 DH富田
ホワイトニングの注意事項(リスク・副作用など)
- 知覚過敏が出ることがあります
- ホワイトバンドや白い斑点が出ることがあります
- クラウンやインレー等の補綴物には効果がありません
- ホワイトニングによる効果や持続期間には個人差があります
- 歯牙の状態によっては適応できないことがあります
- 保険適用外となります
PMTCの注意事項(リスク・副作用など)
- 歯を白くする目的の施術ではありません
- 保険適用外となります
当サイトの内容、テキスト、画像等の無断転載、複製、複写、盗用を固く禁じます。


