症例詳細
Case detail
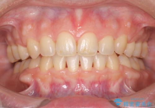
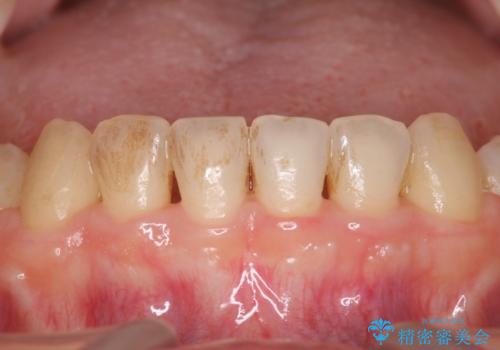
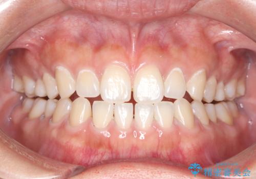
エアフローでステイン除去!
治療症例の内容
- 診療科目
- 治療カテゴリ
- 患者様
- 30代女性
- 治療期間
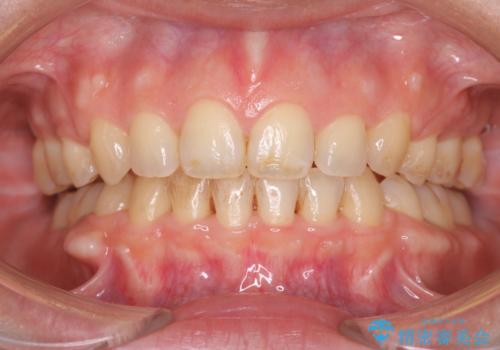
- 治療計画
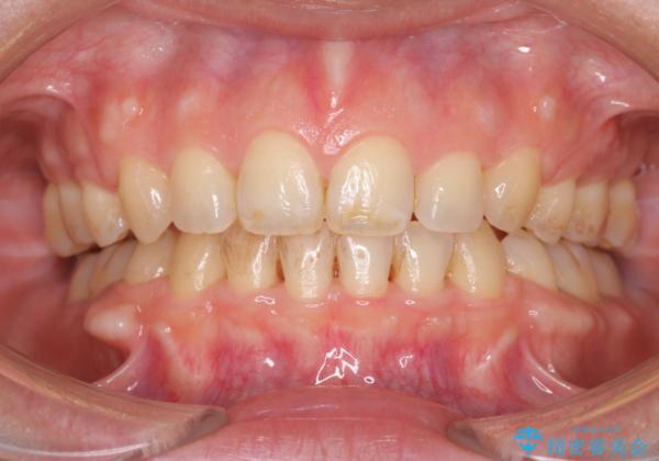
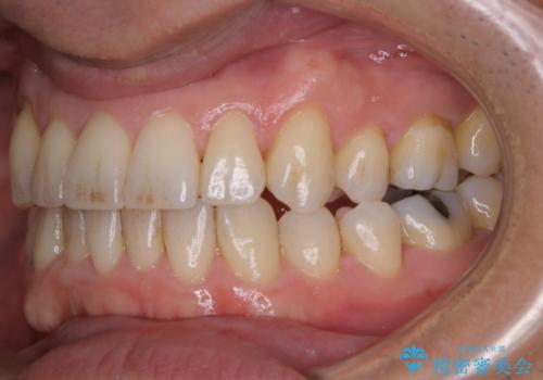
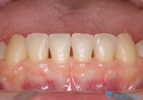
- メンテナンスの際に歯のステインが気になるということで今回はエアフローの機械を使用したクリーニングを行いました。
- 費用(概算)
- 7700円(税込み)費用は治療当時の料金となります
治療について
ステインが付着したままだと歯の表面がざらつき、普段のブラッシング時などに汚れが落ちにくくなります。定期的なメンテナンスの際にPMTC、エアフローを取り入れることをおすすめしております。
新橋銀座しらゆり歯科 歯科衛生士松尾
PMTCの注意事項(リスク・副作用など)
- 歯を白くする目的の施術ではありません
- 保険適用外となります
当サイトの内容、テキスト、画像等の無断転載、複製、複写、盗用を固く禁じます。




