症例詳細
Case detail
ステイン除去で印象が明るく
治療症例の内容
- 診療科目
- 治療カテゴリ
- 患者様
- 20代男性
- 治療期間
- 1日
- 治療回数
- 1回
- 治療計画
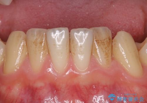
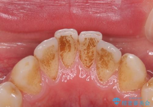
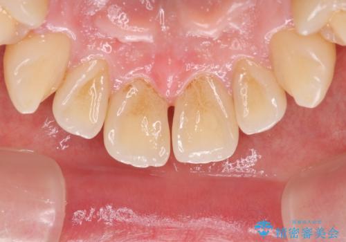
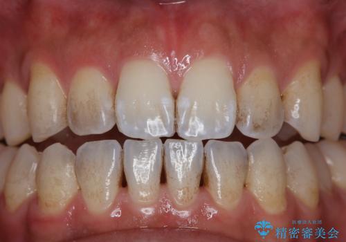
- マウスピース矯正を始める予定の患者様です。マウスピース矯正では、アタッチメントという突起を歯の表面につけ治療していきます。歯の表面にステインやバイオフィルムが付着していると、アタッチメントが付きにくいため、矯正前のクリーニングをお勧めすました。歯の表面の汚れを落とすことで歯面もツルツルになり、新たな歯石や歯垢がつきにくくなります。
- 費用(概算)
- 7,700円費用は治療当時の料金となります
治療について
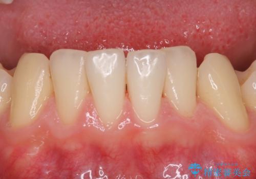
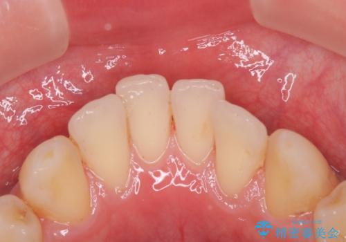
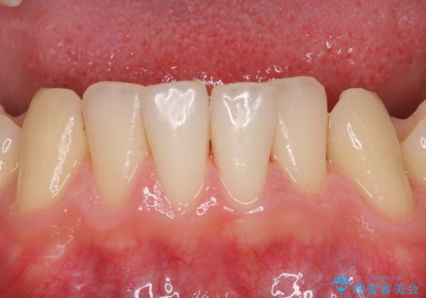
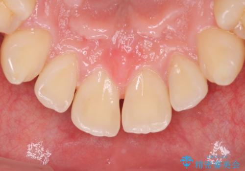
ステインを除去したことにより、歯の色が明るく見えます。特に前歯はステインが目立ちやすいため、仕上がり後はお顔の印象も明るくなった様子でした。
新橋銀座しらゆり歯科 歯科衛生士
PMTCの注意事項(リスク・副作用など)
- 歯を白くする目的の施術ではありません
- 保険適用外となります
当サイトの内容、テキスト、画像等の無断転載、複製、複写、盗用を固く禁じます。






