症例詳細
Case detail
2カ月に1回の着色落とし(PMTC)
治療症例の内容
- 診療科目
- 治療カテゴリ
- 患者様
- 30代男性
- 治療期間
- 1日
- 治療回数
- 1回
- 治療計画
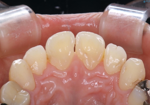
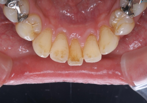
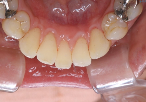
- 着色を落としてほしいとのことで来院されました。
PMTC60分コースを行いました。
- 費用(概算)
- 11000円費用は治療当時の料金となります
治療について
PMTC60分コースを行いました。
この患者様は、着色が付きやすくかなり気にされているため、2カ月に1回のペースでクリーニングをしに来院されています。
着色の量が多いため、エアフローという機具も使いながらクリーニングを行いました。
エアフローとは、歯面清掃を行う機具の一種で、非常に細かなパウダーを強力なジェット水流で歯に吹き付け汚れを落とす器具です。水圧とパウダーの力で隅々まで着色やバイオフィルムを効果的にそして短時間で落とすことが出来ます。
担当歯科衛生士
表参道しらゆり歯科 DH富田
PMTCの注意事項(リスク・副作用など)
- 歯を白くする目的の施術ではありません
- 保険適用外となります
当サイトの内容、テキスト、画像等の無断転載、複製、複写、盗用を固く禁じます。






