症例詳細
Case detail
オフィスホワイトニング(エクセレントコース) 高濃度の薬剤使用!
治療症例の内容
- 診療科目
- 治療カテゴリ
- 患者様
- 20代女性
- 治療期間
- 1日
- 治療回数
- 1回
- 治療計画
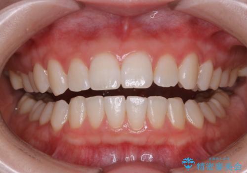
- できるだけ早く白くしてほしいとのことで来院されました。
オフィスホワイトニングのエクセレントコースと処置前クリーニングを行いました。
- 費用(概算)
- 33,000円費用は治療当時の料金となります
治療について
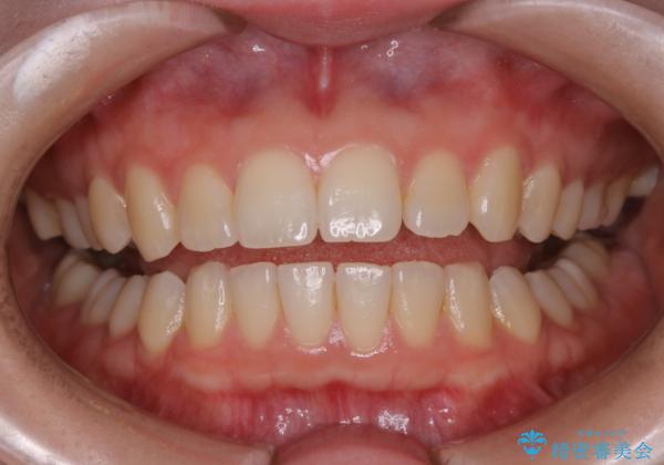
処置前クリーニングとオフィスホワイトニングのエクセレントコースを行いました。
この患者様は、1回の施術で2~3トーン白くなりました。
オフィスホワイトニングの治療期間は個人差がありますが、1回の施術で満足のいく綺麗な白さにするのは難しいです。
施術直後が1番白くなっているため、1回でメンテナンスに移行される方もいます。ですが、この白さを歯に定着させるためには、1~2週間の間にもう一度オフィスホワイトニングを行うか、ホームホワイトニングを2週間続けてもらうかすると、綺麗な白さと持続性を維持することが出来るためおすすめします。
担当歯科衛生士
表参道しらゆり歯科 DH富田
ホワイトニングの注意事項(リスク・副作用など)
- 知覚過敏が出ることがあります
- ホワイトバンドや白い斑点が出ることがあります
- クラウンやインレー等の補綴物には効果がありません
- ホワイトニングによる効果や持続期間には個人差があります
- 歯牙の状態によっては適応できないことがあります
- 保険適用外となります
当サイトの内容、テキスト、画像等の無断転載、複製、複写、盗用を固く禁じます。


