症例詳細
Case detail
結婚式までに歯を白く
治療症例の内容
- 診療科目
- 治療カテゴリ
- 患者様
- 30代男性
- 治療期間
- 1日
- 治療回数
- 1回
- 治療計画
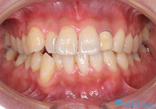
- 結婚式を控えており、それまでに歯を白くしたいということで来院されました。
歯医者に来院するのが久しぶりの様で歯の表面に汚れが付着しているとホワイトニング薬剤の効果が薄れるため、術前のクリーニングをおすすめしその後オフィスホワイトニングエクセレントコースを行いました。
- 費用(概算)
- 33000円(税込み)費用は治療当時の料金となります
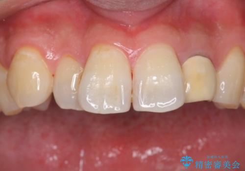
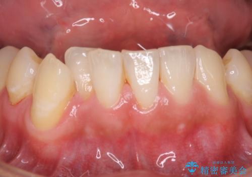
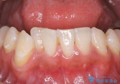
ホワイトニング
全体的にトーンアップしました。オフィスホワイトニングはホームホワイトニングに比べ1度で白くなりやすいため、直近の予定を控えている方にお勧めしております。
新橋銀座しらゆり歯科 歯科衛生士
ホワイトニングの注意事項(リスク・副作用など)
- 知覚過敏が出ることがあります
- ホワイトバンドや白い斑点が出ることがあります
- クラウンやインレー等の補綴物には効果がありません
- ホワイトニングによる効果や持続期間には個人差があります
- 歯牙の状態によっては適応できないことがあります
- 保険適用外となります
当サイトの内容、テキスト、画像等の無断転載、複製、複写、盗用を固く禁じます。






