症例詳細
Case detail
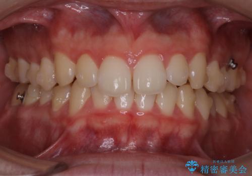
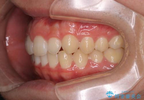
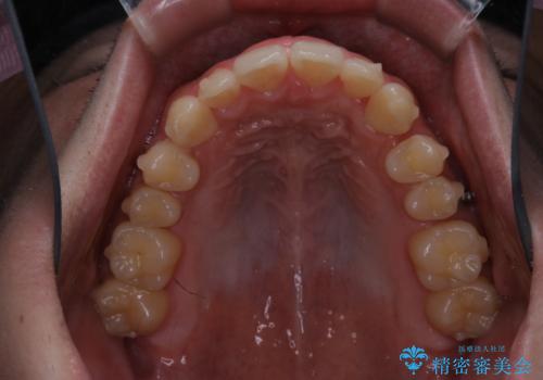
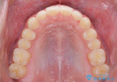
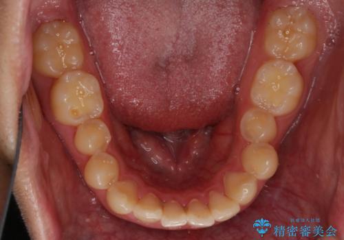
前歯が見えすぎる:インビザラインFULLで奥歯の噛み合わせも改善
治療症例の内容
- 診療科目
- 治療カテゴリ
- 担当医
- 患者様
- 20代男性
- 矯正装置
- インビザラインFULL
- 治療期間
- 2年5ヶ月
- 治療回数
- 10-30回
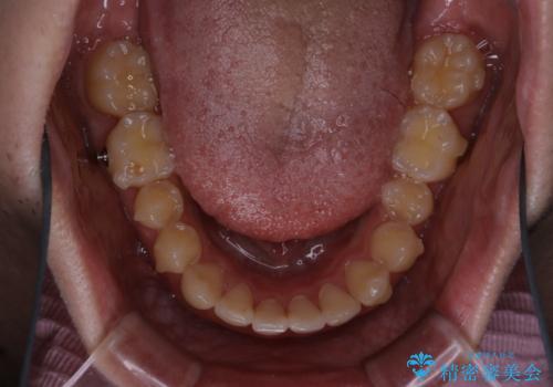
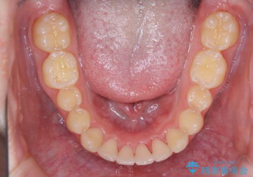
- 治療計画
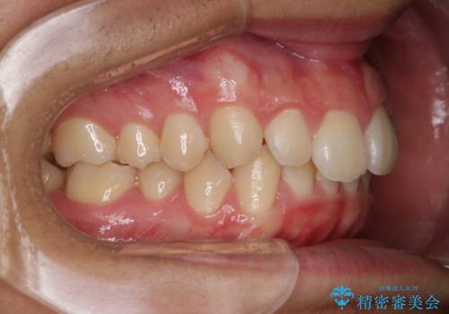
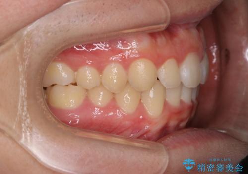
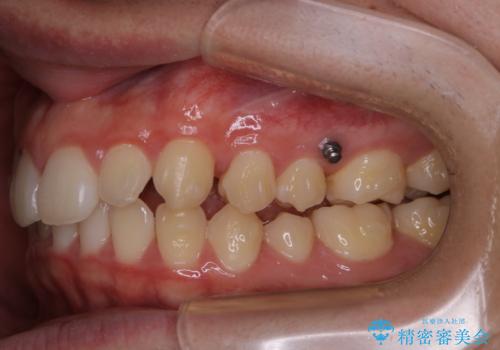
- 上の前歯が見えすぎて気になるとご相談にいらした方です。インビザラインにて前歯の圧下を行うことで歯の見え方の改善し、同時に奥歯の噛み合わせも改善を行いました。
- 費用(概算)
- 85万円(税込み)費用は治療当時の料金となります
治療について
インビザラインを正しく使用して頂けたおかげで、比較的難しいとされる歯の圧下も補助装置を使用せずに行うことが出来ました。上の前歯のラインが整ったことで笑った時の口元の印象を改善させることができ、大変喜んでいただけました。
マウスピース矯正の注意事項(リスク・副作用など)
- 口腔内・歯並びの状態によっては対応できない場合があります
- マウスピース型矯正装置の長時間装着(1日20時間以上)が必須です
- 治療計画通りに進めるためには、患者様の意志が重要になります
- 矯正治療後の保定が不十分だと後戻り(元の位置に戻ろうとする動き)をします
- 薬機法対象外の矯正歯科装置のため医薬品副作用被害救済制度の対象外となる場合があります
- 自費診療(保険適用外)となります
当サイトの内容、テキスト、画像等の無断転載、複製、複写、盗用を固く禁じます。



















