症例詳細
Case detail
骨の造成を同時に行うインプラント治療
治療症例の内容
- 担当医
- 大元洋佑(ドクタープロフィール)
- 患者様
- 60代女性
- 治療期間
- 8ヶ月
- 治療回数
- 5-10回
- 治療計画
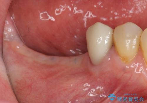
- 「長年使ってきた歯を失い入れ歯を入れてみたがよく噛めない、インプラント治療を受けたい。」とインプラントt利用を希望され来院されました。
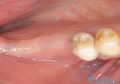
骨は薄くなってしまい、インプラントの長期的な安定を見込むには不十分でしたのでインプラントの埋入と同時に周囲にコツの造成を行う治療計画を立てます。
- 費用(概算)
- 81.4万円 (straumann社製インプラント×2 アバットメント×2 仮歯×2 骨造成 ジルコニアクラウン×2)費用は治療当時の料金となります
治療について
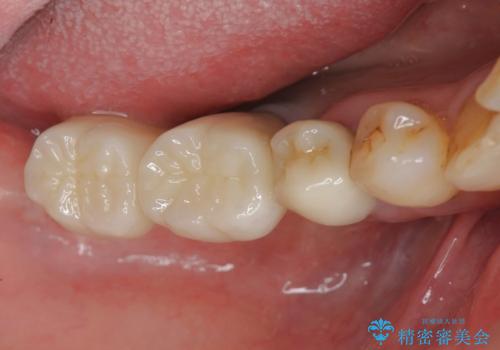
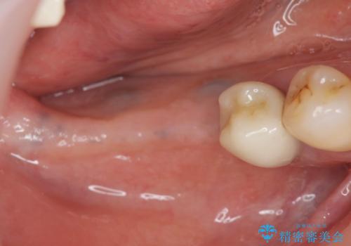
入れ歯に替わりインプラント治療を行ったことでしっかりと物が噛め、食事ができるようになり大変喜んでいただくことができました。
インプラント治療の注意事項(リスク・副作用など)
- 外科手術のため、術後に痛みや腫れ、違和感を伴います
- メンテナンスを怠ったり喫煙により、お口の中に大きな悪影響を及ぼすインプラント周囲炎等にかかる可能性があります
- 糖尿病、肝硬変、心臓病等の場合、インプラント治療ができない可能性があります
- 高血圧、貧血・不整脈等の場合、インプラント治療後に治癒不全を招く可能性があります
- 自費診療(保険適用外治療)となります
セラミック治療の注意事項(リスク・副作用など)
- 天然歯を削ります
- 硬い素材は天然歯を傷つけてしまう場合があります
- かみ合わせや歯ぎしりが強すぎる方はセラミックが割れてしまう可能性があります
- 自費診療(保険適用外治療)となります
当サイトの内容、テキスト、画像等の無断転載、複製、複写、盗用を固く禁じます。

















