症例詳細
Case detail
磨きすぎて傷が付くほどの歯根 歯肉移植術による根面被覆
治療症例の内容
- 診療科目
- 治療カテゴリ
- 担当医
- 藤巻太一朗(ドクタープロフィール)
- 患者様
- 30代女性
- 治療期間
- 4ヶ月
- 治療回数
- 5-10回
- 治療計画
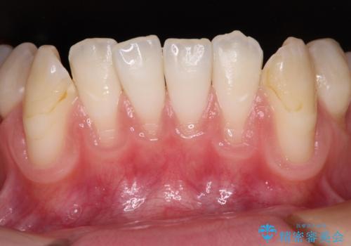
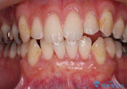
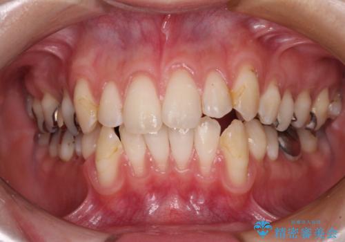
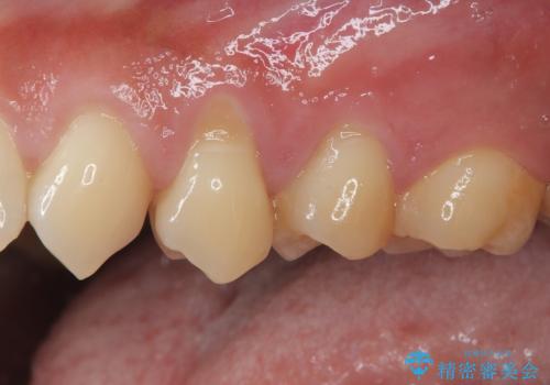
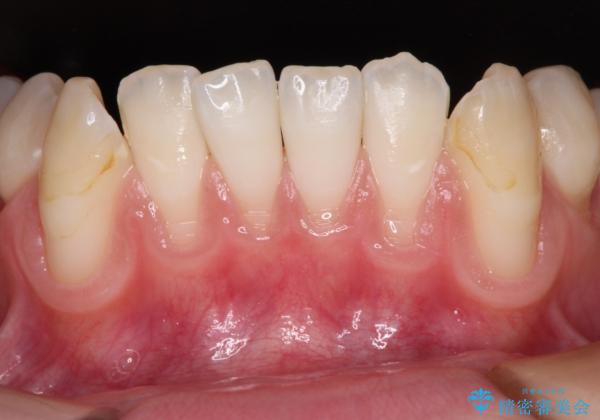
- 歯肉退縮による知覚過敏を気にして来院された患者様です。
診察したところ、知覚過敏をむし歯と勘違いし、一生懸命磨いたことで横縞模様ができるほどでした。
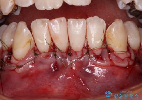
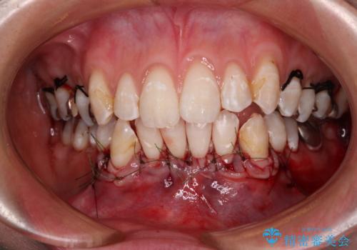
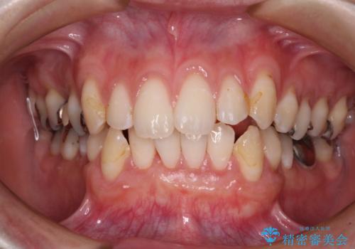
歯肉退縮に対して、上顎からの結合組織移植術(CTG)により、歯根の被覆を行うとともに、歯肉の厚みを増すことで将来の退縮リスクを抑制することとしました。
被覆量が不十分の場合には、追加で手術を行うことで患者様の了解を得ました。
- 費用(概算)
- 治療費の目安: 40万円(税込)費用は治療当時の料金となります
治療について
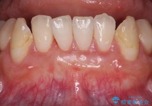
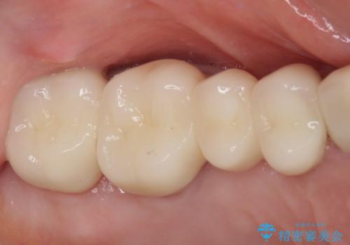
上顎両側から歯肉を採取したたため、術後は痛みや出血で辛い思いをされましたが、1回の処置で満足のいく結果となりました。
外科処置の注意事項(リスク・副作用など)
- 外科手術のため、術後に出血、痛みや腫れ、違和感を伴います
- 口腔内の状態によっては適応できないことがあります
当サイトの内容、テキスト、画像等の無断転載、複製、複写、盗用を固く禁じます。










