症例詳細
Case detail
奥歯の深い虫歯
治療症例の内容
- 診療科目
- 治療カテゴリ
- 担当医
- 青山卓弘(ドクタープロフィール)
- 患者様
- 20代男性
- 治療期間
- 1ヶ月
- 治療回数
- 2-5回
- 治療計画
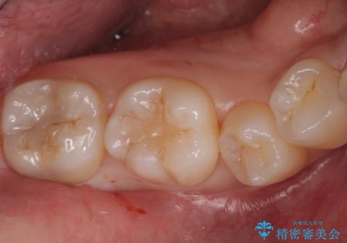
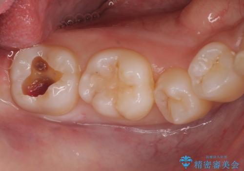
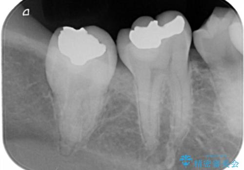
- 以前他院で奥歯にプラスチックの樹脂で虫歯治療を行った患者様です。
かかりつけの歯科医院で虫歯だと指摘され、自費でのゴールドインレーでの修復治療を希望して来院されました。
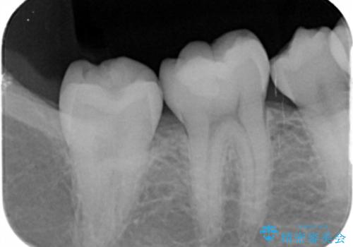
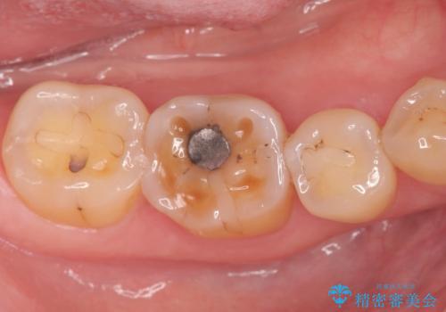
古い樹脂の詰め物を取り除いたところ、歯の神経と非常に近い状態でした。
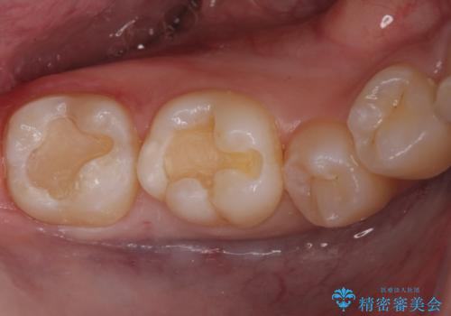
万一神経と交通した場合に備え、唾液が入らないようにゴムのシートで防湿(ラバーダム防湿)を行い虫歯除去を行いました。
幸い神経とは交通せず、処置後の神経症状もありませんでした。
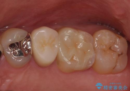
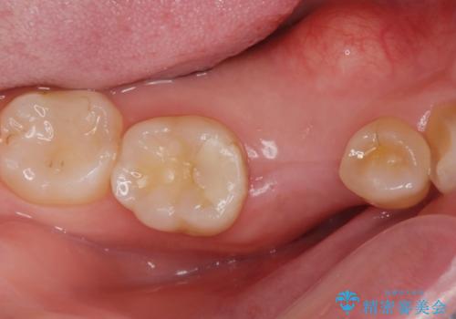
ご希望に沿って、ゴールドインレーにて治療を行いました。
- 費用(概算)
- PGA(ゴールド)インレー 6.6万円 × 2本費用は治療当時の料金となります
治療について
ゴールドインレーは適合がよく、強度もあり、腐食もしにくく、アレルギーのリスクが極めて少ない安定した治療法です。虫歯の再発リスクを減らすことができます。
PGA(ゴールド)クラウン、インレーの注意事項(リスク・副作用など)
- インレーおよびクラウンは脱離するリスクがあります
- 形成量はセラミックより少ないですが、歯の形成、修復後に歯に症状が出ることがあります
- 自費診療(保険適用外治療)となります
その他の注意事項(リスク・副作用など)
- 担当歯科医師、歯科衛生士又は医院スタッフから受けた説明・注意事項をよくご確認ください
- 医療を提供するに当たり、適切な説明を行い、患者様の十分な理解を得るよう努めております
当サイトの内容、テキスト、画像等の無断転載、複製、複写、盗用を固く禁じます。







