症例詳細
Case detail
- 患者様
 - 40歳男性
 
- 治療期間
 - 3ヶ月
 
- 治療回数
 - 2-5回
 
- 治療計画
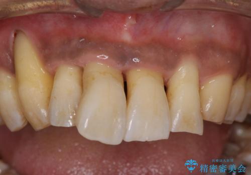
 - 歯並びが気になり矯正をしたいと来院された。歯周病の検査、レントゲンをとり重度の歯周病であることがわかりました。
まずは、歯周病の初期治療から行っていくことを説明。
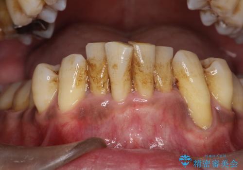
黒々とした厚みのある歯石が歯の表面に沢山付いていました。
痛みもなかったため(冷たいものでしみる知覚過敏症状はある)びっくりされていた印象です。
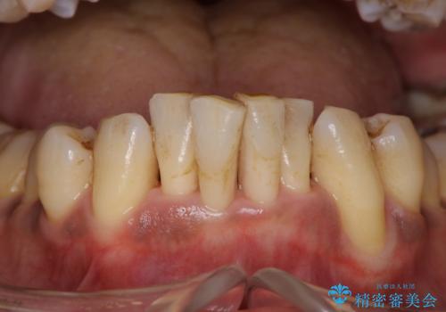
まず、歯石除去を5回に分けて歯茎の下に付いている歯石をとりながら(麻酔あり)ホームケアの大切さ
ブラッシング指導を行っていきました。
 
- 費用(概算)
 - 220000円費用は治療当時の料金となります
 
治療について
歯周病治療ではまず初期治療として歯石除去を行っていきますが歯周病の進行度や歯石の量、質などにより回数、料金がかわってきます。麻酔は状態、痛みの感じ方により使用しない場合もあります。
痛みがないことが多いため定期的なメンテナンス、歯周病の検査をおすすめしています。
担当 DH内海
歯周病治療の注意事項(リスク・副作用など)
- 外科手術のため、術後に痛みや腫れ、違和感を伴います
 - 歯周組織再生治療は患者様の状態によって術後の経過が異なります(見た目が改善しない場合もあります)
 - 歯周組織再生治療は自費診療(保険適用外)となります
 
当サイトの内容、テキスト、画像等の無断転載、複製、複写、盗用を固く禁じます。

                      
                                                          


