症例詳細
Case detail
矯正スタートする前のクリーニング(PMTC)
治療症例の内容
- 診療科目
- 治療カテゴリ
- 患者様
- 30代女性
- 治療期間
- 1日
- 治療回数
- 1回
- 治療計画
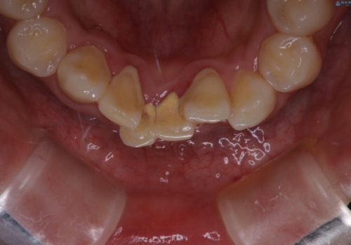
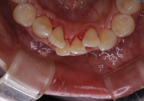
- 矯正を始める前にクリーニングをしたいとのことで来院されました。
PMTC30分コースをおこないました。
- 費用(概算)
- ¥5500費用は治療当時の料金となります
治療について
PMTCの30分コースを行いました。
矯正を始めるのをきっかけにクリーニングを約5年ぶりに行ったそう。
プラークや歯石がとても多く付いていたので、すべて除去していきました。
長い間、歯石やプラークが付いていたため、歯茎が腫れて出血していますが、汚れを除去したことによってだんだんと腫れが引いてきます。再度、汚れが付かないようにホームケアを頑張ることがとても大切なため、ブラッシングの説明も細かくさせていただきました。
担当歯科衛生士
表参道しらゆり歯科 DH富田
PMTCの注意事項(リスク・副作用など)
- 歯を白くする目的の施術ではありません
- 保険適用外となります
当サイトの内容、テキスト、画像等の無断転載、複製、複写、盗用を固く禁じます。




