症例詳細
Case detail
初めてのオフィスホワイトニング
治療症例の内容
- 診療科目
- 治療カテゴリ
- 患者様
- 20代男性
- 治療期間
- 1日
- 治療回数
- 1回
- 治療計画
- 結婚式を控えており、ホワイトニングをしたいとのことで来院されました。
- 費用(概算)
- 35200円(税込み)費用は治療当時の料金となります
治療について
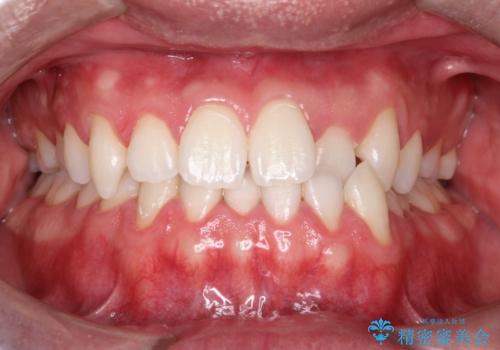
全体的に歯石等の汚れが目立っていたためまずはPMTCをおすすめし、行いました。ホワイトニングは初めてということだったため1回の施術で白くなりやすいエクセレントコースをおすすめしました。全体的に汚れを落としたあとにホワイトニングを行ったことにより、薬剤が浸透しやすくなり、1回の施術でも白くなりました。
歯科衛生士 松尾
ホワイトニングの注意事項(リスク・副作用など)
- 知覚過敏が出ることがあります
- ホワイトバンドや白い斑点が出ることがあります
- クラウンやインレー等の補綴物には効果がありません
- ホワイトニングによる効果や持続期間には個人差があります
- 歯牙の状態によっては適応できないことがあります
- 保険適用外となります
PMTCの注意事項(リスク・副作用など)
- 歯を白くする目的の施術ではありません
- 保険適用外となります
当サイトの内容、テキスト、画像等の無断転載、複製、複写、盗用を固く禁じます。


