症例詳細
Case detail
PMTCでステイン除去をし綺麗な歯へ
治療症例の内容
- 診療科目
- 治療カテゴリ
- 患者様
- 30代女性
- 治療期間
- 1日
- 治療回数
- 1回
- 治療計画
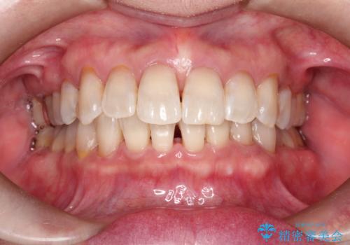
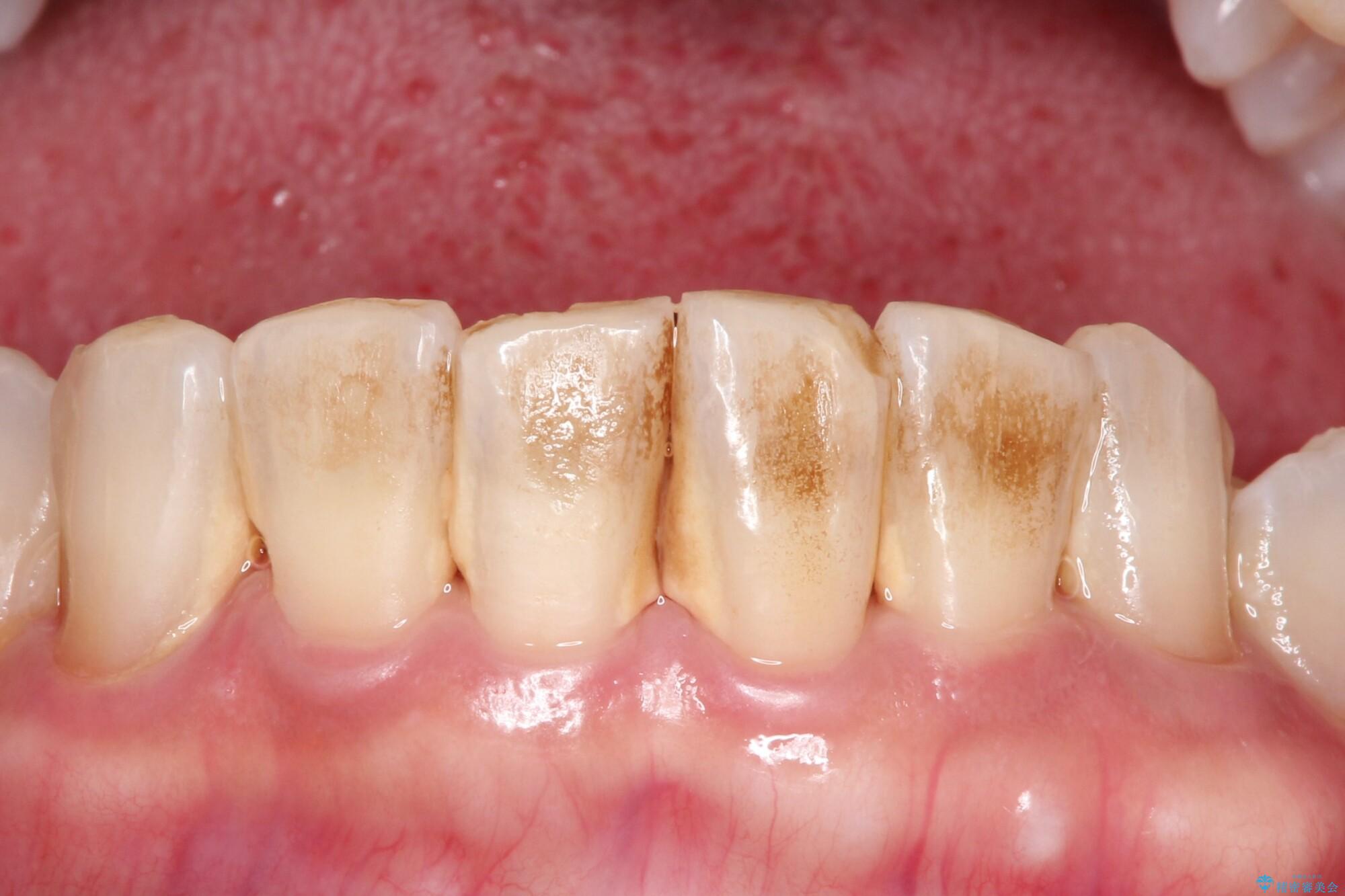
- 久々のクリーニングで来院されました。歯の表面のステイン付着と、下顎前歯に歯石がみられました。今回はPMTCをおすすめしました。
- 費用(概算)
- 5500円(税込み)費用は治療当時の料金となります
治療について
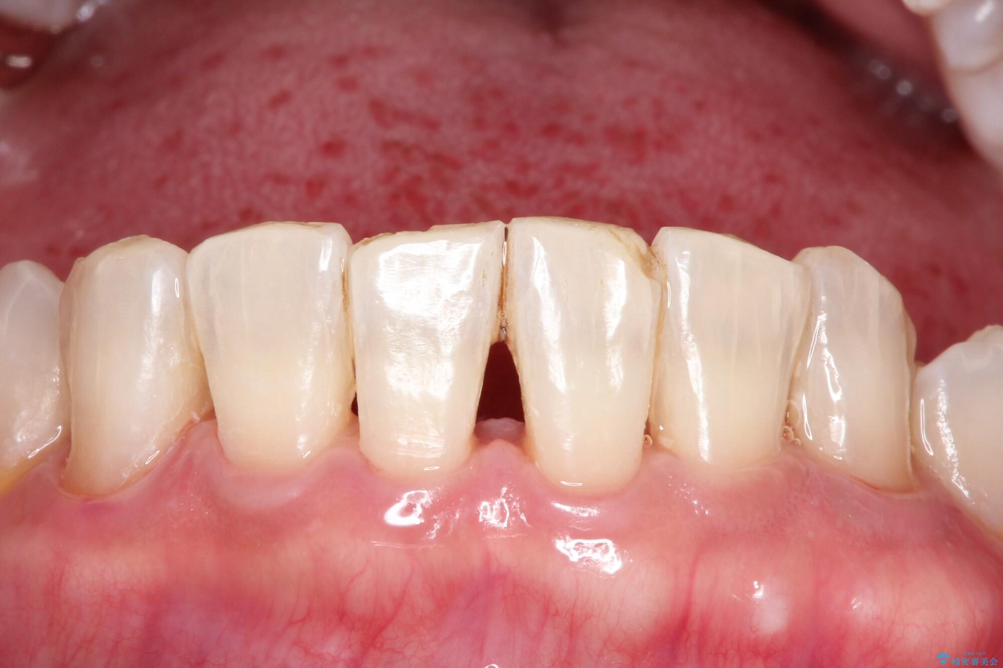
ステインを除去したことで全体のトーンが明るくなりました。下顎前歯は歯石で埋まってしまっていたため、クリーニング後はスペースができたように見えますが、歯本来の形へ戻りました。
歯科衛生士 松尾
PMTCの注意事項(リスク・副作用など)
- 歯を白くする目的の施術ではありません
- 保険適用外となります
当サイトの内容、テキスト、画像等の無断転載、複製、複写、盗用を固く禁じます。




