症例詳細
Case detail
セラミックインレーによる治療
治療症例の内容
- 診療科目
- 治療カテゴリ
- 担当医
- 青山卓弘(ドクタープロフィール)
- 患者様
- 20代女性
- 治療期間
- 1ヶ月
- 治療回数
- 2-5回
- 治療計画
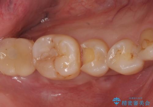
- フロスをすると引っかかる、食べ物がよく詰まるとのことで来院。
精査したところ詰め物が欠けており、物が挟まりやすく不潔になっていました。
また、小さめですが、虫歯になっていました。
そのままだといくら歯磨きを頑張っても虫歯が進行してしまいやすい状態となっていたため治療を勧めました。
虫歯を除去し、白くて目立たないセラミックインレーによる修復を行いました。
- 費用(概算)
- 7.7万円費用は治療当時の料金となります
治療について
セラミックインレーの装着によりフロスが引っかからなくなりました。また、食べ物も詰まらなくなり、とても満足していただきました。
食べ物がしょっちゅう挟まる部位は虫歯のリスクが大きく、治療により症状が改善することがあります。そのような症状でお悩みの方は、ぜひご相談ください。
セラミック治療の注意事項(リスク・副作用など)
- 天然歯を削ります
- 硬い素材は天然歯を傷つけてしまう場合があります
- かみ合わせや歯ぎしりが強すぎる方はセラミックが割れてしまう可能性があります
- 自費診療(保険適用外治療)となります
その他の注意事項(リスク・副作用など)
- 担当歯科医師、歯科衛生士又は医院スタッフから受けた説明・注意事項をよくご確認ください
- 医療を提供するに当たり、適切な説明を行い、患者様の十分な理解を得るよう努めております
当サイトの内容、テキスト、画像等の無断転載、複製、複写、盗用を固く禁じます。





