症例詳細
Case detail
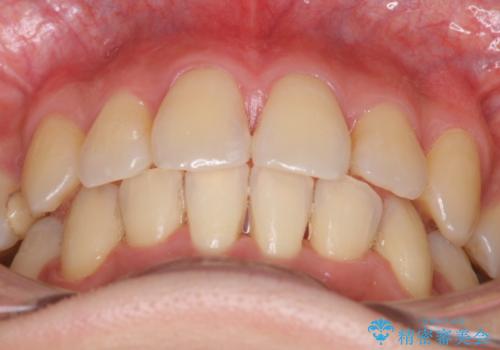
ガタガタの抜歯矯正を裏側ワイヤーを使っての目立たない矯正
治療症例の内容
- 診療科目
- 担当医
- 患者様
- 20代女性
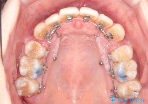
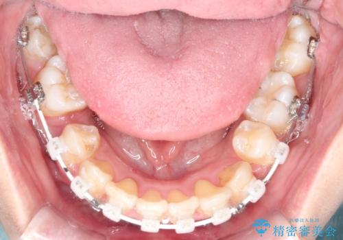
- 矯正装置
- ハーフリンガル
- 治療期間
- 2年2ヶ月
- 治療回数
- 10-30回
- 治療計画
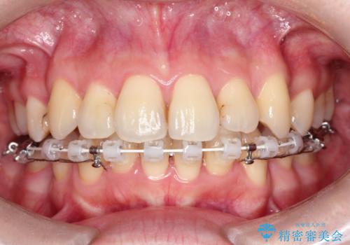
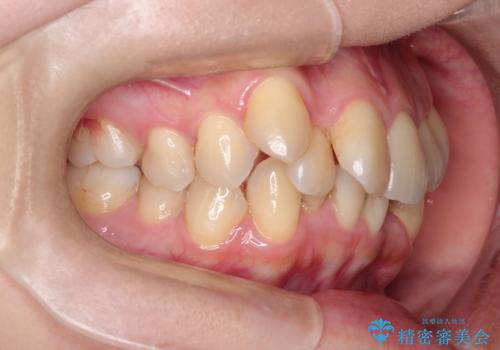
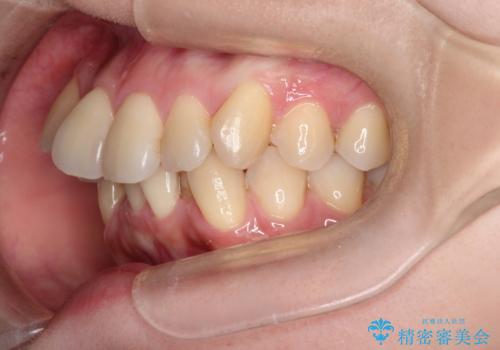
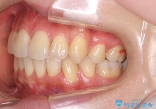
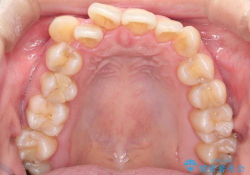
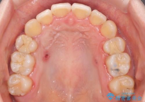
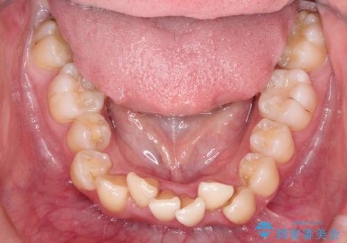
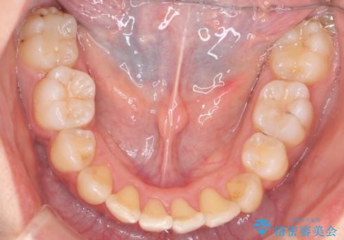
- 八重歯とガタガタを主訴に来院されました。
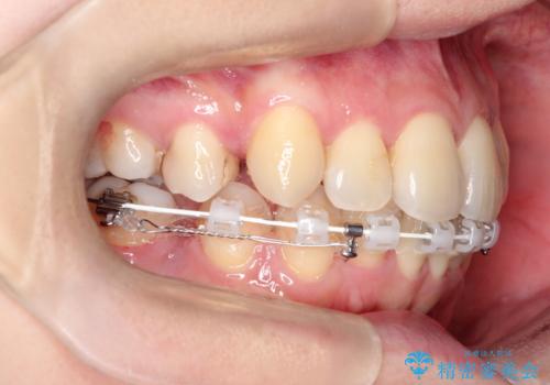
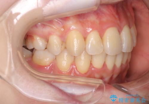
目立たないワイヤー矯正を希望されたので、上下左右のはを1本ずつ抜歯して、ハーフリンガル(上顎だけ裏側)にて矯正をすることにしました。
- 費用(概算)
- 約135万円費用は治療当時の料金となります
治療について
裏側装置の場合、歯磨きが難しいのと、慣れるまでは話しにくさや、違和感があります。
慣れてからは、とくに不自由さは感じない方が多いです。
ワイヤー矯正の注意事項(リスク・副作用など)
- 治療中は違和感や痛みが起こることがあります
- 症状により、抜歯が必要な場合があります
- 治療中は歯磨きがしにくくなるため、虫歯や歯周病になりやすくなります
- 矯正治療後の保定が不十分だと後戻り(元の位置に戻ろうとする動き)をします
- 自費診療(保険適用外)となります
当サイトの内容、テキスト、画像等の無断転載、複製、複写、盗用を固く禁じます。





















