症例詳細
Case detail
奥歯が黒く、心配。ゴールドインレーで修復
治療症例の内容
- 診療科目
- 治療カテゴリ
- 担当医
- 青山卓弘(ドクタープロフィール)
- 患者様
- 20代女性
- 治療期間
- 1ヶ月
- 治療回数
- 2-5回
- 治療計画
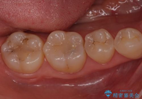
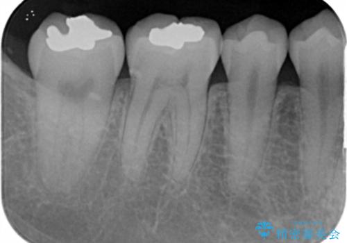
- 奥歯に以前プラスチックの樹脂で虫歯治療を行った患者様です。
歯と樹脂の隙間が黒くなってきていて若干虫歯になっていました。
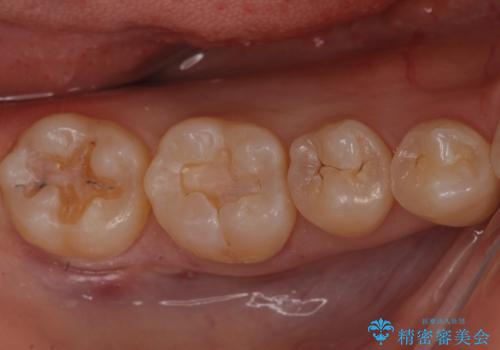
樹脂は長期的な予後が悪いため、樹脂を外してゴールドインレーに置き換えました。
樹脂下の虫歯は除去しています。
樹脂の治療は1回で終わって簡単ではありますが、劣化により今回のように歯と詰め物の隙間が出来やすく、また、プラスチック自体も割れやすいため長期的な予後が見込めません。
今回は、虫歯が進行したというよりは予防的な意味も含めて、金属で丈夫な適合の良いゴールドインレー(PGAインレー)による修復治療を行うことにしました。
- 費用(概算)
- ゴールドインレー6万円 ×2本費用は治療当時の料金となります
治療について
ゴールドインレーによる修復は適合がよく、欠けることもなく、腐食もしにくく、アレルギーのリスクが極めて少ない安定した治療法です。ただし、セラミックと比較し目立つという欠点があるため、奥歯の力がかかるところにおすすめの治療法です。
PGA(ゴールド)クラウン、インレーの注意事項(リスク・副作用など)
- インレーおよびクラウンは脱離するリスクがあります
- 形成量はセラミックより少ないですが、歯の形成、修復後に歯に症状が出ることがあります
- 自費診療(保険適用外治療)となります
その他の注意事項(リスク・副作用など)
- 担当歯科医師、歯科衛生士又は医院スタッフから受けた説明・注意事項をよくご確認ください
- 医療を提供するに当たり、適切な説明を行い、患者様の十分な理解を得るよう努めております
当サイトの内容、テキスト、画像等の無断転載、複製、複写、盗用を固く禁じます。





