症例詳細
Case detail
矯正中のクリーニング(PMTC)
治療症例の内容
- 診療科目
- 治療カテゴリ
- 患者様
- 20代女性
- 治療期間
- 1日
- 治療回数
- 1回
- 治療計画
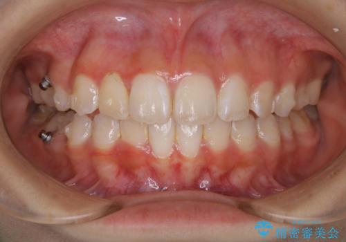
- 全体的にクリーニングして欲しいとのことで来院されました。
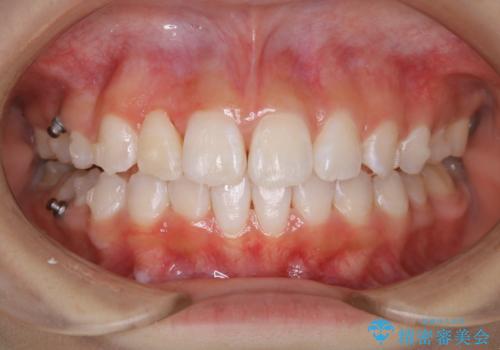
PMTC30分コースを行いました。
- 費用(概算)
- ¥5500費用は治療当時の料金となります
治療について
PMTC30分コースを行いました。
歯石やプラークが多く付いていました
ワイヤーでもインビザラインでも矯正中は、プラークが付きやすくなるため、今まで丁寧に磨けていた方でも磨き残しが出てきてしまうことが多いです。
磨き残しをそのままにしておくと、虫歯や歯周病が進行してしまいますので、定期的にクリーニングをすることをお勧めします。
担当歯科衛生士
DH富田
PMTCの注意事項(リスク・副作用など)
- 歯を白くする目的の施術ではありません
- 保険適用外となります
当サイトの内容、テキスト、画像等の無断転載、複製、複写、盗用を固く禁じます。


