症例詳細
Case detail
ワイヤー矯正中は1.2カ月に1回はクリーニング(PMTC)
治療症例の内容
- 診療科目
- 治療カテゴリ
- 患者様
- 20代女性
- 治療期間
- 1日
- 治療回数
- 1回
- 治療計画
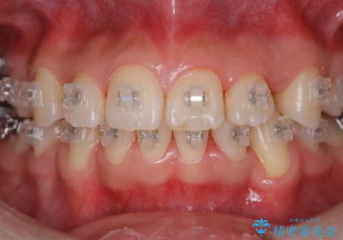
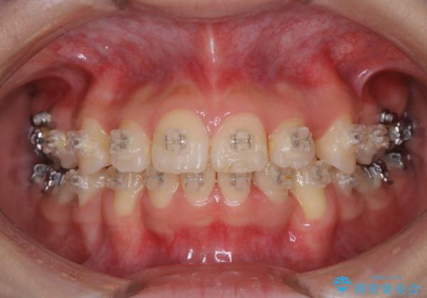
- ワイヤー矯正中クリーニングして欲しいとのことで来院されました。
PMTC30分コースを行いました。
- 費用(概算)
- ¥5500費用は治療当時の料金となります
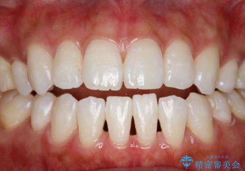
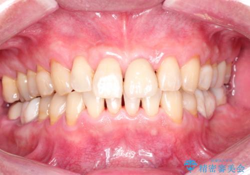
治療について
ワイヤー矯正中のクリーニング
PMTC30分コースを行いました。
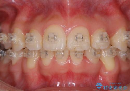
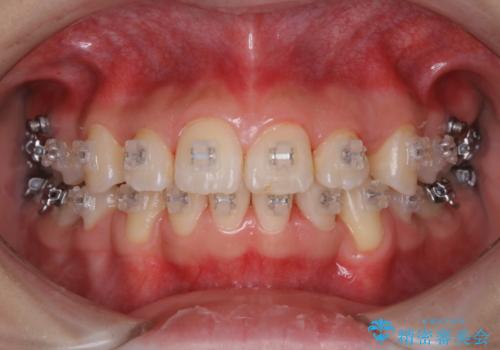
装置の周りにプラークや歯石が多く付着していました。普段は、ワイヤーが付いているため歯ブラシなどを使い分け、時間をかけて歯を磨かなければなりません。ただ、ホームケアのみですと限界がどうしてもあるため、歯科でのクリーニングが非常に大切になります。
汚れを気にせず矯正を進めることはできなくはないですが、虫歯や歯周病は確実に進行します。
本院では、虫歯や歯周病もチェックしながら矯正の治療を行っております。ですので、そうならないために予防的に定期的クリーニングをおすすめさせて頂いています。
個人差はありますが、1.2カ月に1回のクリーニングがおすすめです。
担当歯科衛生士
表参道しらゆり歯科 DH富田
PMTCの注意事項(リスク・副作用など)
- 歯を白くする目的の施術ではありません
- 保険適用外となります
当サイトの内容、テキスト、画像等の無断転載、複製、複写、盗用を固く禁じます。




