症例詳細
Case detail
メンテナンスと一緒にクリーニング(PMTC)
治療症例の内容
- 診療科目
- 治療カテゴリ
- 患者様
- 30代女性
- 治療期間
- 1日
- 治療回数
- 1回
- 治療計画
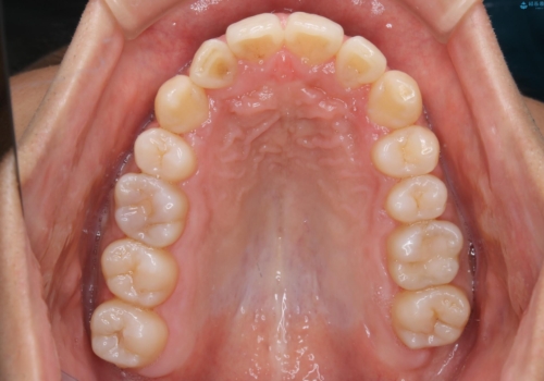
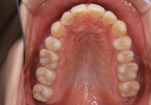
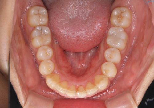
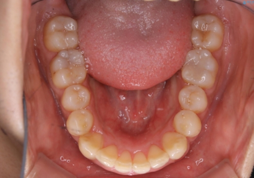
- 全体的にクリーニングをして欲しいとのことで来院されました。
PMTC60分コースを行いました。
- 費用(概算)
- 11000円費用は治療当時の料金となります
治療について
メンテナンス時に一緒にPMTC30分コースを行いました。
一見、表面はそこまで汚れが付着していないようにみえますが、裏面を見てみると、着色や歯石が多く付着していました。個人差はありますが、3カ月に1回の来院でもここまで汚れが付着する為、メンテナンスやクリーニングは、3ヶ月に1回をおすすめします。
担当歯科衛生士
表参道しらゆり歯科 DH富田
PMTCの注意事項(リスク・副作用など)
- 歯を白くする目的の施術ではありません
- 保険適用外となります
当サイトの内容、テキスト、画像等の無断転載、複製、複写、盗用を固く禁じます。






