症例詳細
Case detail
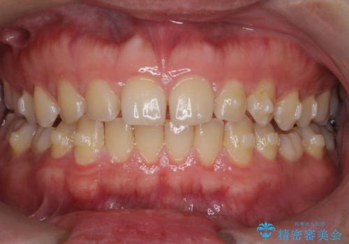
エアーフローで黄ばみ取り
治療症例の内容
- 診療科目
- 治療カテゴリ
- 患者様
- 20代男性
- 治療期間
- 1日
- 治療計画
- インビザラインで矯正中の方です。
黄ばみが気になるとエアーフローを希望されました。
- 費用(概算)
- 約8000円費用は治療当時の料金となります
エアーフロー
予防効果の高いクリーニングです。着色が傷つかず除去できる為、着色がある方には綺麗になった感が強いです。着色がついていない方も艶々になります。
バイオフィルムを除去しています、2カ月くらいはブラッシングもしやすくなります。
歯の色のトーンもアップしますが、より白さを希望される方はホワイトニングをおすすめです。
銀座院歯科衛生士 吉越
PMTCの注意事項(リスク・副作用など)
- 歯を白くする目的の施術ではありません
- 保険適用外となります
当サイトの内容、テキスト、画像等の無断転載、複製、複写、盗用を固く禁じます。


