症例詳細
Case detail
PMTC30分コース
治療症例の内容
- 診療科目
- 治療カテゴリ
- 患者様
- 20代女性
- 治療期間
- 治療計画
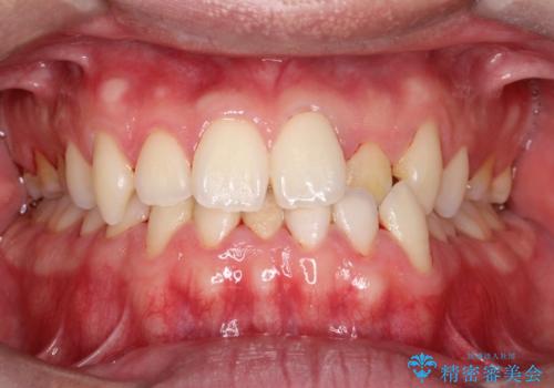
- 全体的にクリーニングをして欲しいとのことで来院されました。
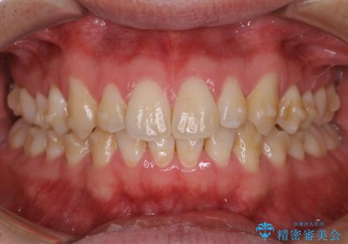
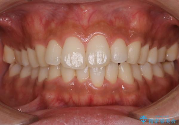
PMTC30分コースを行いました。
- 費用(概算)
- ¥5500費用は治療当時の料金となります
治療について
PMTC30分コースを行いました。
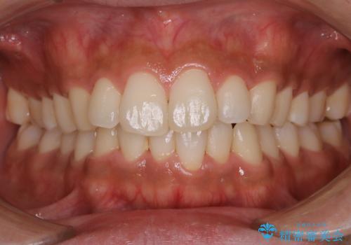
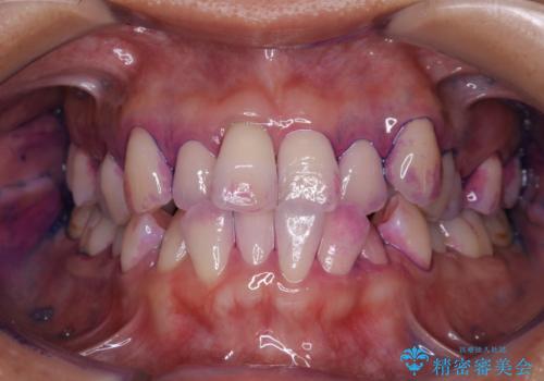
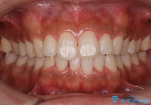
歯の表面に着色がうっすら全体的に付いていました。歯の間は、歯石で埋め尽くされている状態でした。
すべて取り除いてあげることにより、トーンアップしたように感じます。
着色がないと印象がかなり変わると思います。
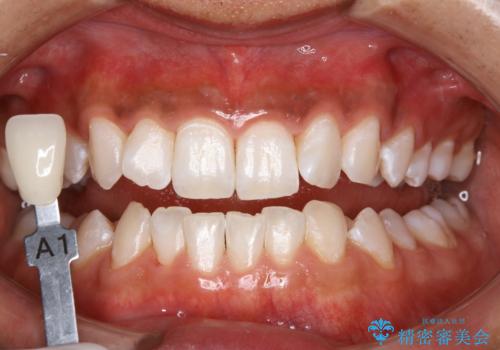
着色や汚れの量により30分コースか60分コースか変わりますので、一度カウンセリングに来ていただけたらと思います。
担当歯科衛生士
表参道しらゆり歯科 DH富田
PMTCの注意事項(リスク・副作用など)
- 歯を白くする目的の施術ではありません
- 保険適用外となります
当サイトの内容、テキスト、画像等の無断転載、複製、複写、盗用を固く禁じます。


