症例詳細
Case detail
20年ぶりのクリーニング(PMTC)
治療症例の内容
- 診療科目
- 治療カテゴリ
- 患者様
- 20代男性
- 治療期間
- 1日
- 治療回数
- 1回
- 治療計画
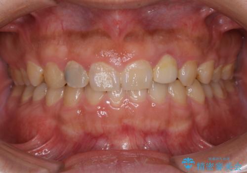
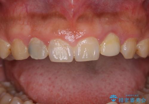
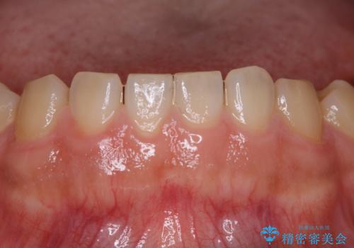
- 全体的にクリーニングをして欲しいとのことで来院されました。
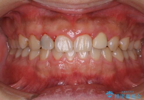
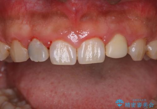
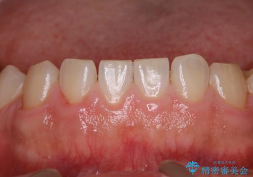
PMTC60分コースを行いました。
- 費用(概算)
- ¥11000費用は治療当時の料金となります
治療について
PMTC60分コースを行いました。
20年ぶりのクリーニングということもあり、歯の表面全てにプラークが付着していました。
プラークの細菌によりかなり歯ぐきが腫れていました。1度のクリーニングで汚れは落とせますが、このまま何もしないとまた同じようにプラークが付着し、それを繰り返すことになるだけでなく、歯周病や虫歯が進行してしまいます。そうならないためには、日々のケア、ホームケアがとても大事になっていきます。
ブラッシング指導は患者様に合わせて説明させていただいていますので、クリーニング希望の方は是非ご予約下さい。
※クリーニングの種類は、患者様により異なります。
担当歯科衛生士
表参道しらゆり歯科 DH富田
PMTCの注意事項(リスク・副作用など)
- 歯を白くする目的の施術ではありません
- 保険適用外となります
当サイトの内容、テキスト、画像等の無断転載、複製、複写、盗用を固く禁じます。






