症例詳細
Case detail
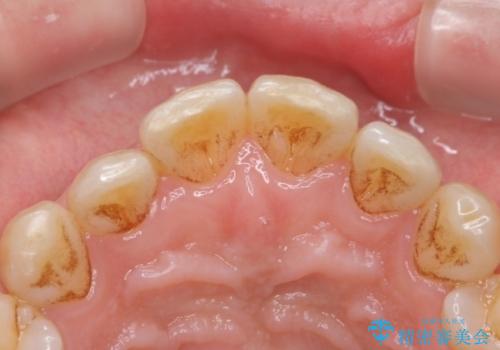
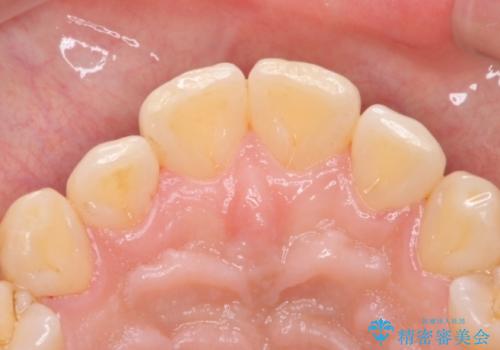
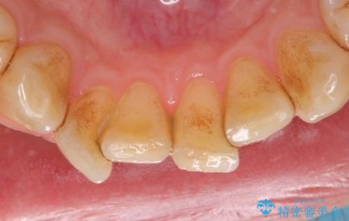
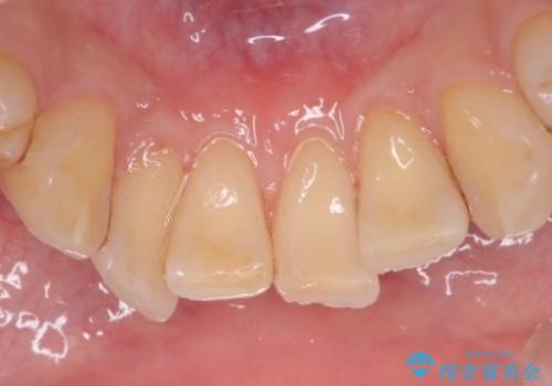
PMTCによる着色除去
治療症例の内容
- 診療科目
- 治療カテゴリ
- 患者様
- 40代男性
- 治療期間
- 1日
- 治療回数
- 1回
- 治療計画
- 着色が気になるとのことで来院された。
- 費用(概算)
- 5500円(税込み)費用は治療当時の料金となります
PMTC
着色だけでなく、歯石やバイオフィルムの除去、ハイドロキシアパタイト配合のトリートメントで仕上げ磨きまで行います。
新橋銀座しらゆり歯科 大脇
PMTCの注意事項(リスク・副作用など)
- 歯を白くする目的の施術ではありません
- 保険適用外となります
当サイトの内容、テキスト、画像等の無断転載、複製、複写、盗用を固く禁じます。






