症例詳細
Case detail
着色落とし、クリーニング(PMTC)
治療症例の内容
- 診療科目
- 治療カテゴリ
- 患者様
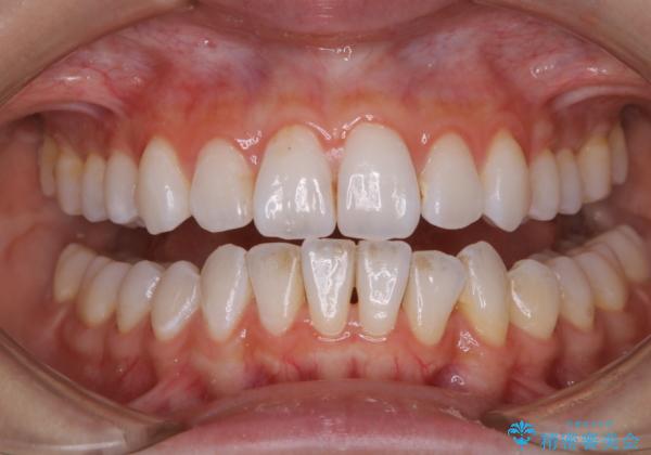
- 20代女性
- 治療期間
- 1日
- 治療回数
- 1回
- 治療計画
- 着色落としを希望され来院されました。
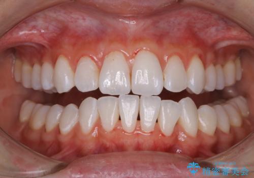
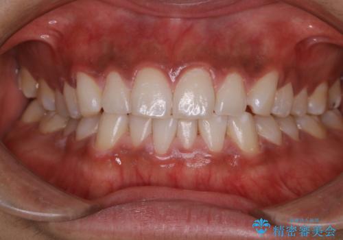
PMTC60分コースを行いました。
- 費用(概算)
- 11000円費用は治療当時の料金となります
治療について
PMTC60分コースを行いました。
前歯だけでなく、奥歯にも着色が多く付いており着色除去を行いました。
PMTCでは、最後の仕上げ磨きにリナメルというトリートメントペーストをを使用します。
リナメルは、ナノ粒子ハイドロキシアパタイトが配合されており、歯の主成分であるハイドロキシアパタイトを補給することができ、歯の面のミクロの傷を埋めてくれます。それにより、歯が滑らかになり、プラークや着色の再付着を防いでくれるものになります。
ホームケア用のリナメルもご用意ありますので、併用して使用して頂けるとさらに効果が得られやすいものになりますので、是非ご検討下さい。受付にて購入が可能になります。
担当者歯科衛生士
表参道しらゆり歯科 DH富田
PMTCの注意事項(リスク・副作用など)
- 歯を白くする目的の施術ではありません
- 保険適用外となります
当サイトの内容、テキスト、画像等の無断転載、複製、複写、盗用を固く禁じます。


