症例詳細
Case detail
定期的にクリーニングを(PMTC)
治療症例の内容
- 診療科目
- 治療カテゴリ
- 患者様
- 20代男性
- 治療期間
- 1日
- 治療回数
- 1回
- 治療計画
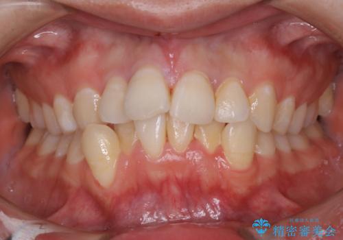
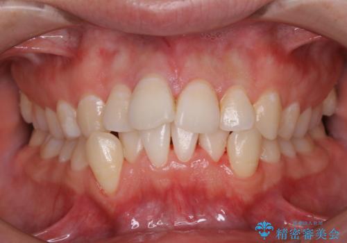
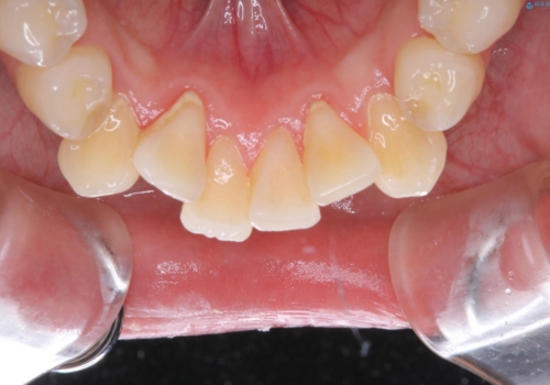
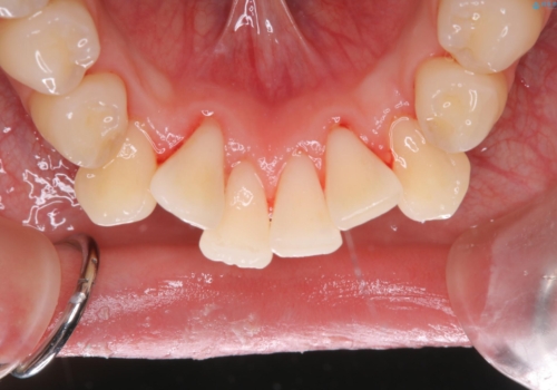
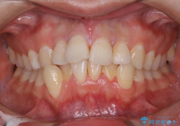
- 全体的にクリーニングをして欲しいとのことで来院されました。
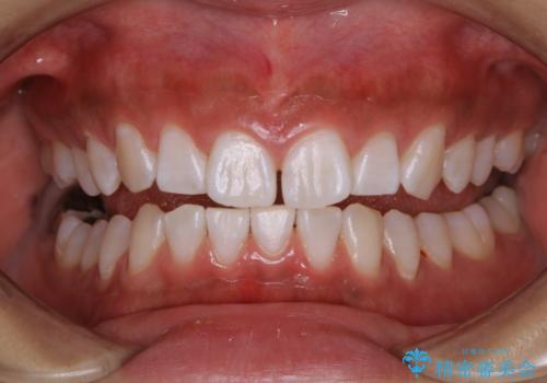
PMTCの60分コースを行いました。
- 費用(概算)
- 11000円費用は治療当時の料金となります
治療について
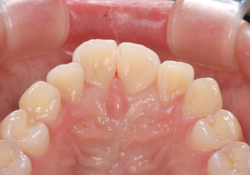
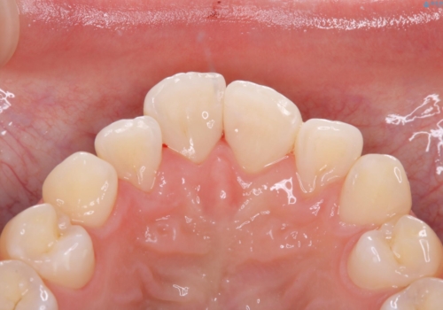
PMTCの60分コースを行いました。
矯正を今後進めていきますが、ホームケアが全くできていない状態で矯正を進めてしまうと、歯周病や虫歯が進行してしまいます。、ブラッシング指導をさせていただき、良くなったら定期的にクリーニングをしていくことをお勧めしています。
担当歯科衛生士
表参道しらゆり歯科 DH富田
PMTCの注意事項(リスク・副作用など)
- 歯を白くする目的の施術ではありません
- 保険適用外となります
当サイトの内容、テキスト、画像等の無断転載、複製、複写、盗用を固く禁じます。






