症例詳細
Case detail
前歯の重なりは奥歯のズレが原因:まとめてインビザラインで治す
治療症例の内容
- 診療科目
- 治療カテゴリ
- 担当医
- 患者様
- 20代女性
- 矯正装置
- インビザラインFULL
- 治療期間
- 1年9ヶ月
- 治療回数
- 10-30回
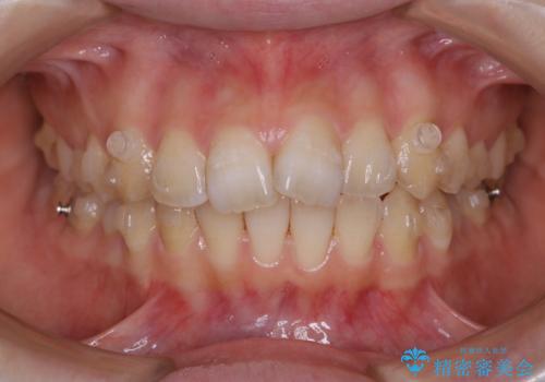
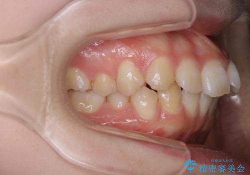
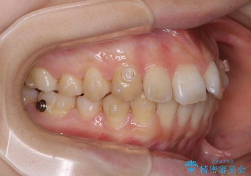
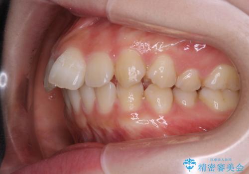
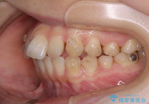
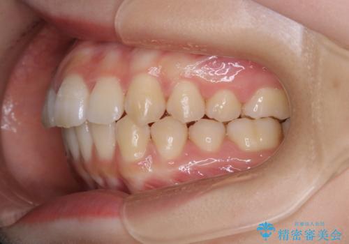
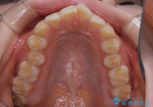
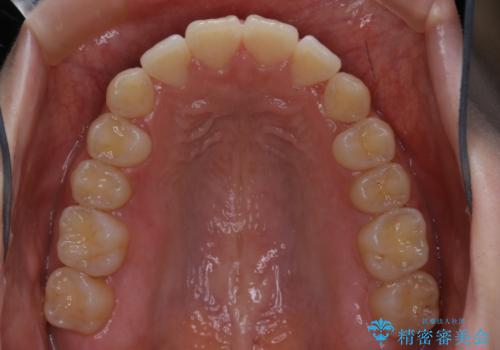
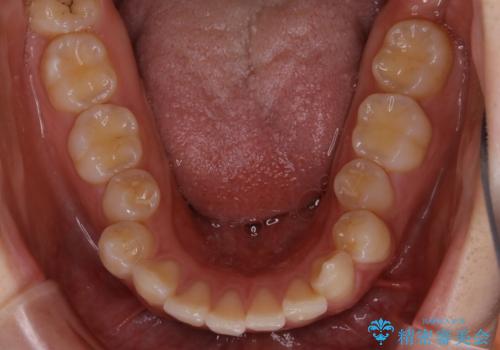
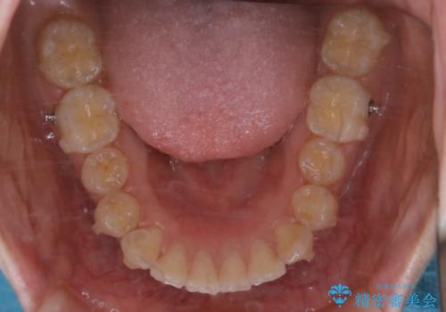
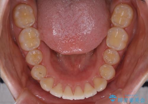
- 治療計画
- 前歯の重なりが気になるとご相談にいらした方です。前歯のがたつきは奥歯の噛み合わせのズレが原因となっていたため、インビザラインFULLにて奥歯からしっかり治療していきました。
- 費用(概算)
- 80万円(税込み)費用は治療当時の料金となります
治療について
前歯のがたつきだけを治そうとした場合、噛み合わせは二の次なってしまう事が多く、せっかく綺麗になった歯並びも後戻りしやすくなります。
見た目だけでなく奥歯を移動させて噛み合わせの改善までが行えるのはインビザラインであるからこそです。奥歯の噛み合わせからしっかり機能させることで、長期間にわたって綺麗な歯並びを保ちやすくなります。
マウスピース矯正の注意事項(リスク・副作用など)
- 口腔内・歯並びの状態によっては対応できない場合があります
- マウスピース型矯正装置の長時間装着(1日20時間以上)が必須です
- 治療計画通りに進めるためには、患者様の意志が重要になります
- 矯正治療後の保定が不十分だと後戻り(元の位置に戻ろうとする動き)をします
- 薬機法対象外の矯正歯科装置のため医薬品副作用被害救済制度の対象外となる場合があります
- 自費診療(保険適用外)となります
当サイトの内容、テキスト、画像等の無断転載、複製、複写、盗用を固く禁じます。



















