症例詳細
Case detail
銀の詰め物を白くしたい 50代男性
治療症例の内容
- 診療科目
- 治療カテゴリ
- 担当医
- 患者様
- 50代男性
- 治療期間
- 1ヶ月
- 治療回数
- 2-5回
- 治療計画
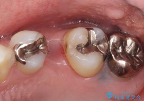
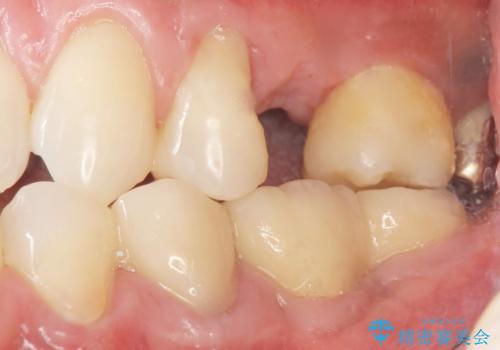
- インプラント治療のついでに、銀の詰め物を白くしたいとご希望された患者様です。
痛みやしみるなどの症状はありませんでしたが、銀の詰め物を除去したところう蝕を認めました。
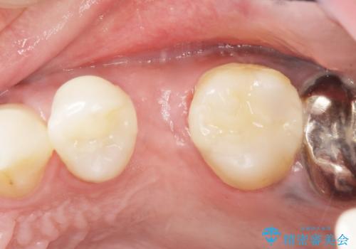
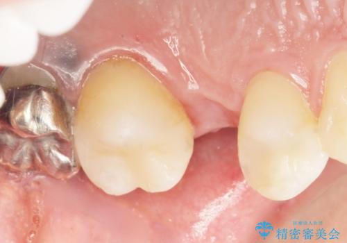
う蝕を丁寧に除去したのち、セラミックインレーによる修復を行いました。
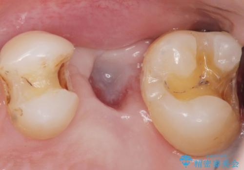
インプラント埋入まで抜歯後(左上5)の骨の治癒を待つ間に、治療期間の短縮を図り先んじて両隣在歯(左上4,6)のインレー修復を行っております。
- 費用(概算)
- ¥154,000 (セラミックインレー×2本) ※税込費用は治療当時の料金となります
治療について
審美的な仕上がりと自然な咬み心地に喜んで頂けました。
インプラント治療と並行して虫歯治療を行うことで、治療期間の短縮を図ることができました。
インレーの種類:セラミックインレー(e-max press)
左上5のインプラントの症例はこちらです。→ https://seimitsushinbi.jp/case/84820/
セラミック治療の注意事項(リスク・副作用など)
- 天然歯を削ります
- 硬い素材は天然歯を傷つけてしまう場合があります
- かみ合わせや歯ぎしりが強すぎる方はセラミックが割れてしまう可能性があります
- 自費診療(保険適用外治療)となります
当サイトの内容、テキスト、画像等の無断転載、複製、複写、盗用を固く禁じます。










