症例詳細
Case detail
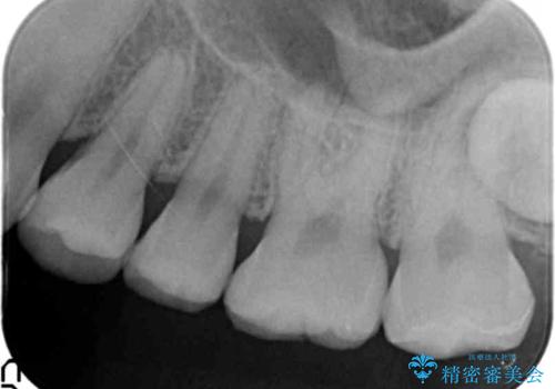
気づかなかった奥歯のう蝕 セラミックインレー 20代女性
治療症例の内容
- 診療科目
- 治療カテゴリ
- 担当医
- 患者様
- 20代女性
- 治療期間
- 1ヶ月
- 治療回数
- 2-5回
- 治療計画
- クリーニングを希望され来院された患者様です。
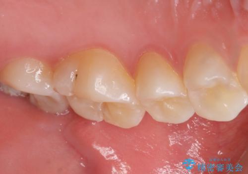
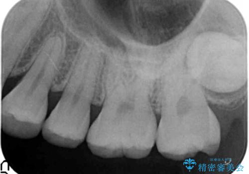
精査したところ、奥歯にう蝕を認めました。
症状がなく気がつかなかったそうで、虫歯があったことに驚かれていました。
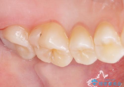
患者様のご希望により、う蝕を丁寧に除去したのちセラミックインレーによる修復を行いました。
- 費用(概算)
- ¥77,000 (セラミックインレー) ※税込費用は治療当時の料金となります
治療について
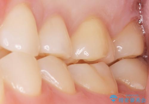
審美的な仕上がりと自然な咬み心地にご満足頂けました。
治療終了後も定期的にクリーニングとホワイトニングで通院して下さっています。
インレーの種類:セラミックインレー(e-max press)
セラミック治療の注意事項(リスク・副作用など)
- 天然歯を削ります
- 硬い素材は天然歯を傷つけてしまう場合があります
- かみ合わせや歯ぎしりが強すぎる方はセラミックが割れてしまう可能性があります
- 自費診療(保険適用外治療)となります
当サイトの内容、テキスト、画像等の無断転載、複製、複写、盗用を固く禁じます。










