症例詳細
Case detail
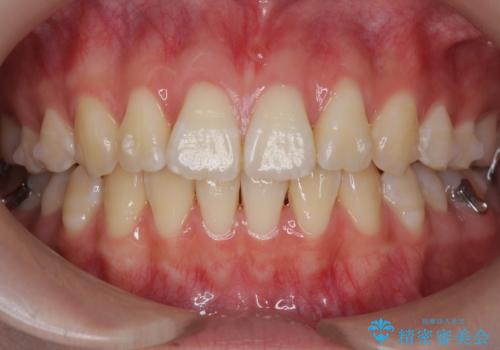
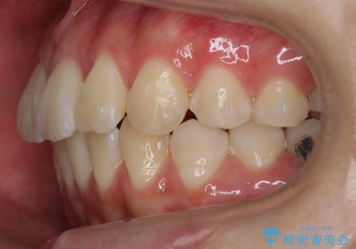
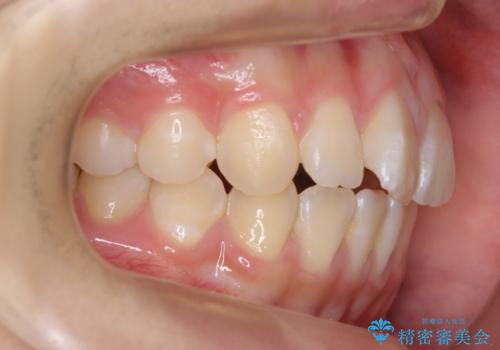
出っ歯 軽度のがたつき インビザラインで
治療症例の内容
- 診療科目
- 担当医
- 井上季実子(ドクタープロフィール)
- 患者様
- 20代女性
- 矯正装置
- インビザライン
- 治療期間
- 3年1ヶ月
- 治療回数
- 10-30回
- 治療計画
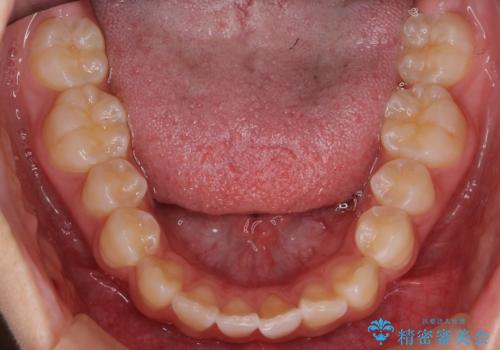
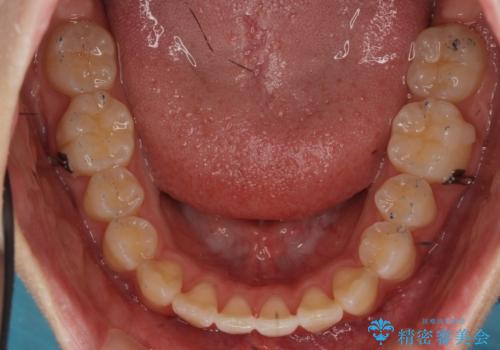
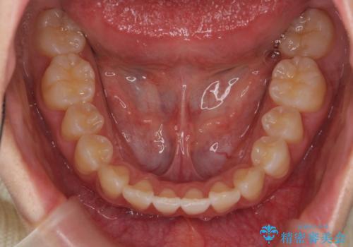
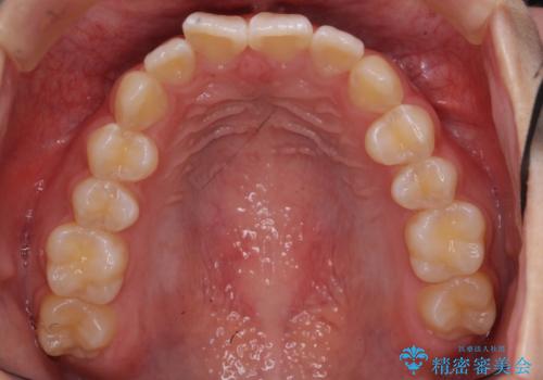
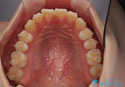
- 奥歯を後ろに下げる処置をおこなっています。
前歯にオープンバイト気味の症状がありましたが、前歯を後ろに下げることでしっかりかませています。
受験で治療を一時中断し1年ほど来院がなかったため、開始から終了までは期間がかかっていますが、実質の治療期間は2年ほどです。
- 費用(概算)
- 85万円(税込み 93.5万円)費用は治療当時の料金となります
治療について
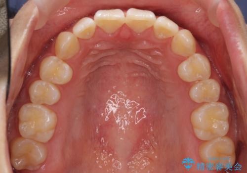
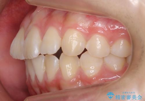
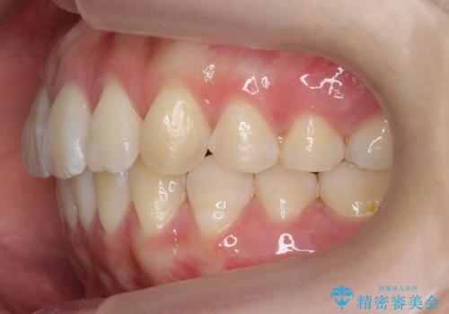
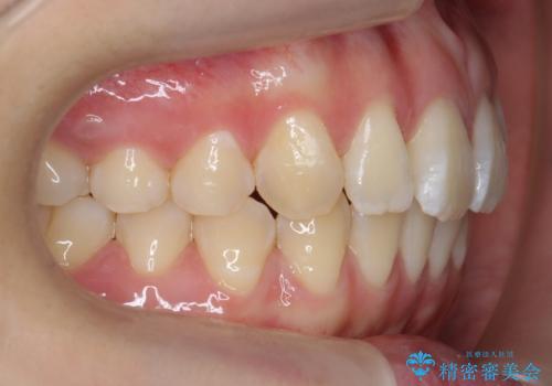
前歯のずれも治り、しっかり下がりました。
前歯を下げるのに、顎間ゴムを使用していただいています。
マウスピース矯正の注意事項(リスク・副作用など)
- 口腔内・歯並びの状態によっては対応できない場合があります
- マウスピース型矯正装置の長時間装着(1日20時間以上)が必須です
- 治療計画通りに進めるためには、患者様の意志が重要になります
- 矯正治療後の保定が不十分だと後戻り(元の位置に戻ろうとする動き)をします
- 薬機法対象外の矯正歯科装置のため医薬品副作用被害救済制度の対象外となる場合があります
- 自費診療(保険適用外)となります
当サイトの内容、テキスト、画像等の無断転載、複製、複写、盗用を固く禁じます。


















