症例詳細
Case detail
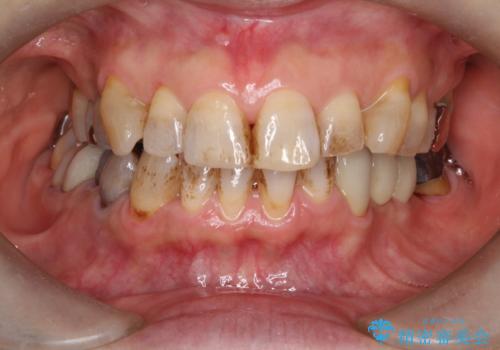
エアーフローでお茶による着色を除去
治療症例の内容
- 診療科目
 
- 治療カテゴリ
 
- 患者様
 - 50代女性
 
- 治療期間
 - 1日
 
- 治療回数
 - 1回
 
- 治療計画
 - 矯正治療後、定期的にクリーニングを受けている方ですが、暫く来院が空いてしまい、着色が酷くなっていました。
リテーナーを付けたまま、お茶を飲む事が多かったのが原因と思われます。 
- 費用(概算)
 - 約8000円費用は治療当時の料金となります
 
エアーフロー
着色だけではなく、歯石やバイオフィルム等、不要な物を取っていく施術となります。
知覚過敏が心配な方も受けられるクリーニングです。
           銀座 歯科衛生士 吉越
PMTCの注意事項(リスク・副作用など)
- 歯を白くする目的の施術ではありません
 - 保険適用外となります
 
当サイトの内容、テキスト、画像等の無断転載、複製、複写、盗用を固く禁じます。

                      
                                                          
