症例詳細
Case detail
オフィスホワイトニング スペシャルコース
治療症例の内容
- 診療科目
- 治療カテゴリ
- 患者様
- 20代女性
- 治療期間
- 1日
- 治療回数
- 1回
- 治療計画
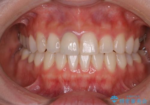
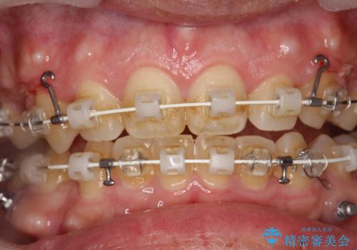
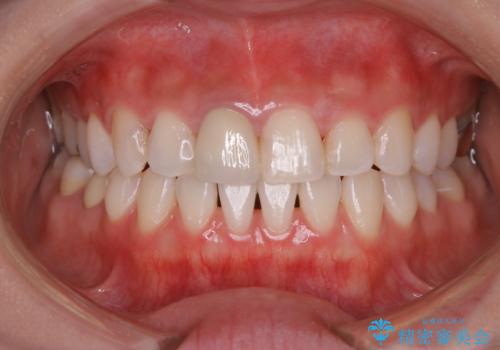
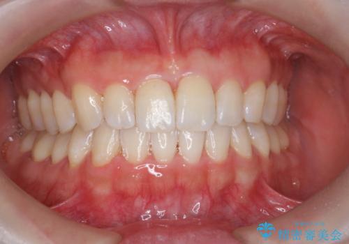
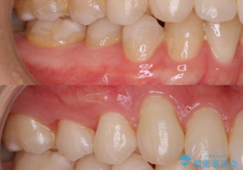
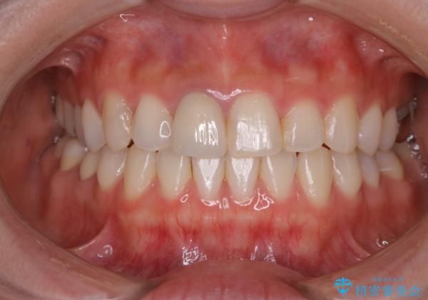
- 後戻り防止の為のオフィスホワイトニングをやりたいとのことで来院されました。
処置前クリーニングとオフィスホワイトニングのスペシャルコースを行いました。
- 費用(概算)
- 15,730円費用は治療当時の料金となります
治療について
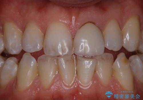
処置前クリーニングとオフィスホワイトニングのスペシャルコースを行いました。
歯石やプラークが多くついているとホワイトニングジェルの浸透が悪くなりホワイトニング効果が得られないため、クリーニングを行ってからホワイトニングを行いました。
担当歯科衛生士
表参道しらゆり歯科 DH富田
ホワイトニングの注意事項(リスク・副作用など)
- 知覚過敏が出ることがあります
- ホワイトバンドや白い斑点が出ることがあります
- クラウンやインレー等の補綴物には効果がありません
- ホワイトニングによる効果や持続期間には個人差があります
- 歯牙の状態によっては適応できないことがあります
- 保険適用外となります
PMTCの注意事項(リスク・副作用など)
- 歯を白くする目的の施術ではありません
- 保険適用外となります
当サイトの内容、テキスト、画像等の無断転載、複製、複写、盗用を固く禁じます。


