症例詳細
Case detail
インプラント治療で達成する奥歯のしっかりとした咬合
治療症例の内容
- 担当医
- 大元洋佑(ドクタープロフィール)
- 患者様
- 30代男性
- 治療期間
- 1年
- 治療回数
- 5-10回
- 治療計画
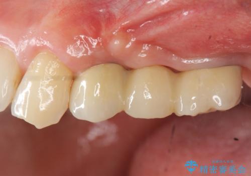
- 重度の虫歯により左上の歯を失い、インプラント治療は怖いため嫌厭して放置していたが、いよいよ食事に困りしっかりと噛めるようになりたいと希望され来院されました。
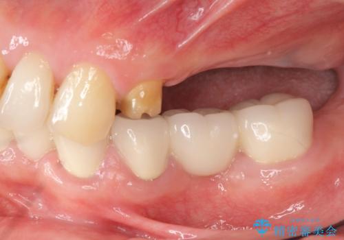
残存している小臼歯も虫歯が大きく保存が難しいため抜去を行い造骨を含めたインプラント治療を行います。
- 費用(概算)
- 112万円(仮歯×3・ストローマンインプラント×2・チタンカスタムアバットメント×2・フルジルコニアクラウン×3・サイナスリフト)(税込)費用は治療当時の料金となります
治療について
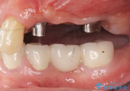
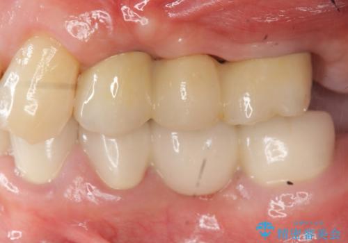
しっかりと造骨を行ったことでインプラント周囲には十分な量の骨が存在し安定したインプラント周囲環境を整えることができました。
最終的なジルコニアクラウン装着後は、まるで自分の歯のように咬める、と咬合機能の回復を大変喜んでいただくことができました。
インプラント治療の注意事項(リスク・副作用など)
- 外科手術のため、術後に痛みや腫れ、違和感を伴います
- メンテナンスを怠ったり喫煙により、お口の中に大きな悪影響を及ぼすインプラント周囲炎等にかかる可能性があります
- 糖尿病、肝硬変、心臓病等の場合、インプラント治療ができない可能性があります
- 高血圧、貧血・不整脈等の場合、インプラント治療後に治癒不全を招く可能性があります
- 自費診療(保険適用外治療)となります
当サイトの内容、テキスト、画像等の無断転載、複製、複写、盗用を固く禁じます。














