症例詳細
Case detail
舌小帯の形成で達成する滑舌の改善
治療症例の内容
- 診療科目
- 治療カテゴリ
- 担当医
- 大元洋佑(ドクタープロフィール)
- 患者様
- 30代男性
- 治療期間
- 1日
- 治療回数
- 1回
- 治療計画
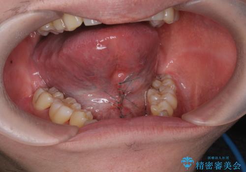
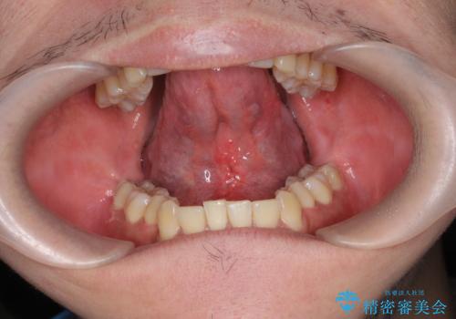
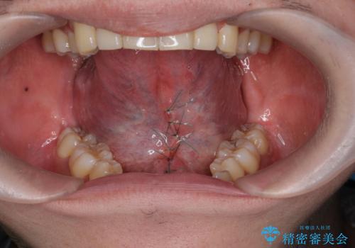
- 長年、指摘され悩みの種であった滑舌の改善を希望され来院されました。
舌の動きを制限してしまう下部のヒダが長い状態を改善する、舌小帯の形成を即日で行い滑舌の改善を計画します。
- 費用(概算)
- 3.3万円費用は治療当時の料金となります
治療について
舌小帯の形成は10分程度で終わる小手術です。
手術を受ける前は怖かったけれど、長年悩みの種であった滑舌が改善できたと喜んでいただくことができました。
外科処置の注意事項(リスク・副作用など)
- 外科手術のため、術後に出血、痛みや腫れ、違和感を伴います
- 口腔内の状態によっては適応できないことがあります
当サイトの内容、テキスト、画像等の無断転載、複製、複写、盗用を固く禁じます。







