症例詳細
Case detail
50代男性 1年ぶりにPMTC 前歯をきれいに
治療症例の内容
- 診療科目
- 治療カテゴリ
- 患者様
- 50代男性
- 治療期間
- 1日
- 治療回数
- 1回
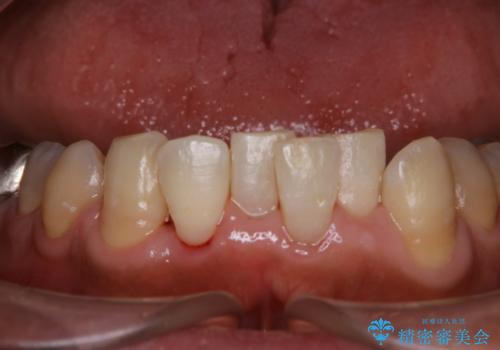
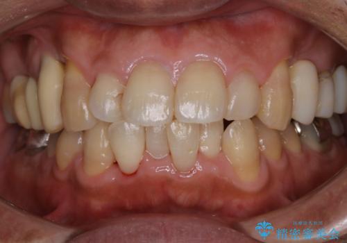
- 治療計画
- 1年ぶりの来院だが30分コースで前歯だけ綺麗にクリーニングしてほしいとのことでした。
PMTC30分コースで前歯メインにクリーニングを行いました。
- 費用(概算)
- ¥5500費用は治療当時の料金となります
治療について
PMTC【Professional Mechanical Tooth Cleaning】は、歯科医師または歯科衛生士によって行われる歯の徹底的な専門クリーニングです。
表参道しらゆり歯科では
30分¥5500・60分¥11000の2つのコースがあります。
お口の中の状態により、担当者とご相談してコースを選んで頂いております。
歯の状態や生活習慣などより個人差がありますが、2~3ヶ月に1度のペースで継続して施術を受けることで、きれいな歯をキープできると考えられています。
担当
表参道しらゆり歯科 DH西澤
PMTCの注意事項(リスク・副作用など)
- 歯を白くする目的の施術ではありません
- 保険適用外となります
当サイトの内容、テキスト、画像等の無断転載、複製、複写、盗用を固く禁じます。






