症例詳細
Case detail
八重歯をインビザラインで矯正 大人の目立たない矯正
治療症例の内容
- 診療科目
- 治療カテゴリ
- 担当医
- 患者様
- 30代男性
- 矯正装置
- インビザライン
- 治療期間
- 1年8ヶ月
- 治療計画
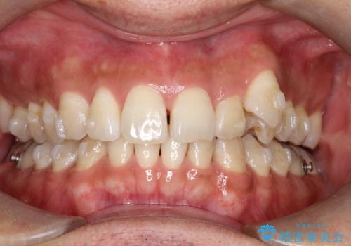
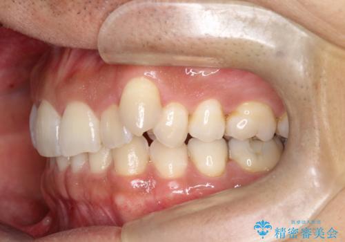
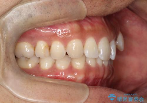
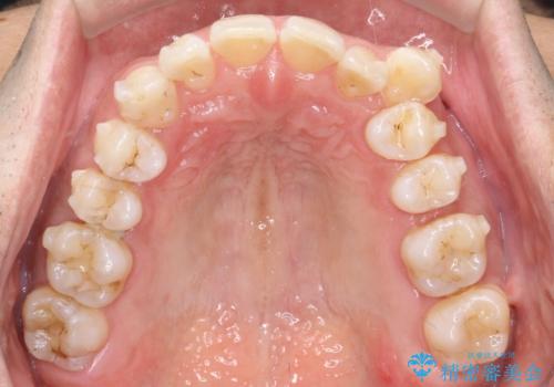
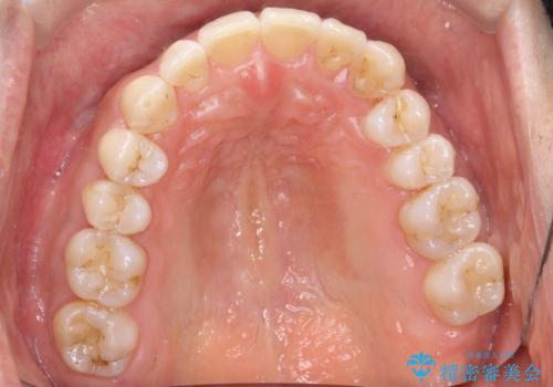
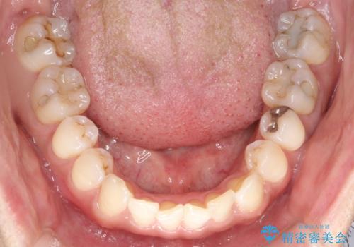
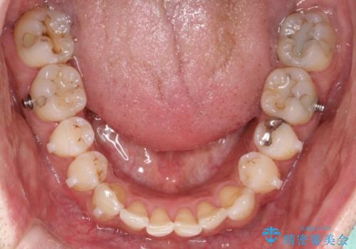
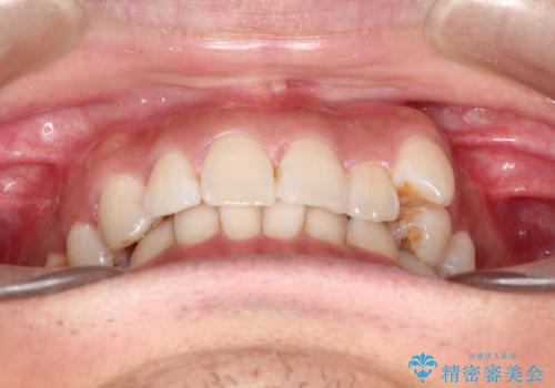
- 八重歯が気になるとのことで来院されました。
人前でお話しするお仕事とのことで、目立たない矯正を希望されました。
インビザラインで治療することとなりました。
- 費用(概算)
- 約95万円費用は治療当時の料金となります
治療について
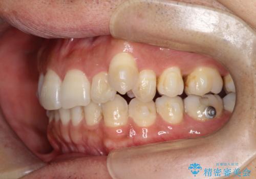
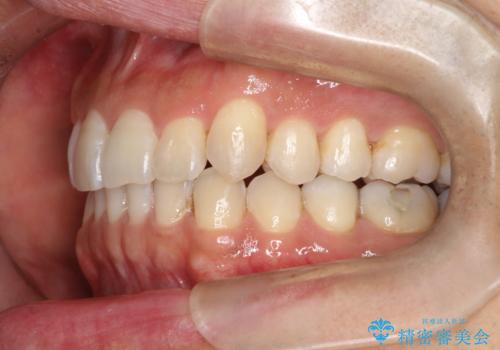
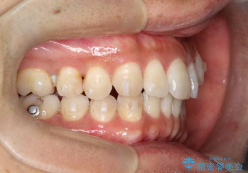
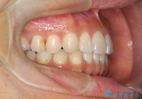
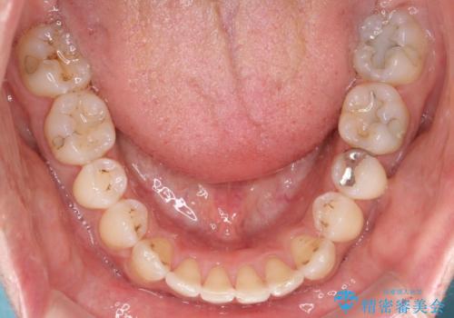
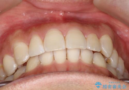
上顎の奥歯を後方に移動させて八重歯が入るスペースを作りました。
上下の正中のずれも改善することができました。
マウスピース矯正の注意事項(リスク・副作用など)
- 口腔内・歯並びの状態によっては対応できない場合があります
- マウスピース型矯正装置の長時間装着(1日20時間以上)が必須です
- 治療計画通りに進めるためには、患者様の意志が重要になります
- 矯正治療後の保定が不十分だと後戻り(元の位置に戻ろうとする動き)をします
- 薬機法対象外の矯正歯科装置のため医薬品副作用被害救済制度の対象外となる場合があります
- 自費診療(保険適用外)となります
当サイトの内容、テキスト、画像等の無断転載、複製、複写、盗用を固く禁じます。

















