症例詳細
Case detail
インビザラインで矯正治療中のクリーニング(PMTC)
治療症例の内容
- 診療科目
- 治療カテゴリ
- 患者様
- 20代女性
- 治療期間
- 治療計画
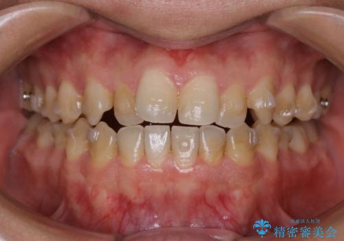
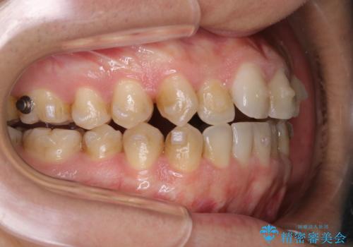
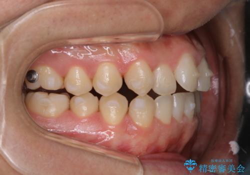
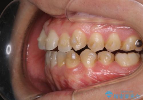
- 全体的にクリーニングしてほしいとのことで来院されました。
PMTC60分コースを行いました。
- 費用(概算)
- 11000円費用は治療当時の料金となります
治療について
PMTC60分コースを行いました。
インビザラインでの矯正治療は、歯の表面にアタッチメントといって白い突起を付けますので、材料の質的にも普段よりも汚れがかなり付着します。着色も付きやすいです。
虫歯や歯周病が進行しないように定期的にクリーニングすることをおすすめします。インビザライン経過のチェックが2、3ヶ月に1回のためそのくらいのペースで一緒にクリーニング行うことが最適です。
担当歯科衛生士
表参道しらゆり歯科 DH富田
PMTCの注意事項(リスク・副作用など)
- 歯を白くする目的の施術ではありません
- 保険適用外となります
当サイトの内容、テキスト、画像等の無断転載、複製、複写、盗用を固く禁じます。






